• Comportement du chien et
    du chat
  • Celui qui connait vraiment les animaux est par là même capable de comprendre pleinement le caractère unique de l'homme
    • Konrad Lorenz
  • Biologie, neurosciences et
    sciences en général
  •  Le but des sciences n'est pas d'ouvrir une porte à la sagesse infinie,
    mais de poser une limite à l'erreur infinie
    • La vie de Galilée de Bertold Brecht

Neurophysiologie : synapse
Vésicules synaptiques : cycle vésiculaire
Recyclage vésiculaire : 6. Endocytose
Couplage exocytose/endocytose

Sommaire
définition

Dans le cycle des vésicules synaptiques, l'endocytose doit être couplée à l'exocytose pour pouvoir renouveler rapidement les vésicules fusionnées et maintenir la fonction synaptique et la stabilité structurelle de la zone active (ZA).

Modèle récent d'exocytose/endocytose vésiculaire
Modèle récent d'exocytose/endocytose vésiculaire
(Figure : vetopsy.fr d'après Wu et Chan)

Couplage exocytose/endocytose

Vue d'ensemble

1. Après la fusion vésiculaire, la membrane vésiculaire doit être extraite de la membrane plasmique par l'endocytose pour maintenir :

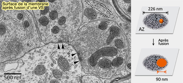
Compte tenu de la taille de la zone active (ZA), chaque fusion de VS peut considérablement augmenter la surface de la membrane plasmique de 6 362 nm2 et donc avoir un impact sur son ultrastructure et sa fonction.

Surface de la membrane après fusion d'une vésicule
Surface de la membrane après fusion d'une vésicule
(Figure : vetopsy.fr d'après Lou)

2. L'exocytose et l'endocytose des vésicules synaptiques (VS) sont étroitement liées dans le temps et dans l'espace lors du recyclage des VS, et ce processus est essentiel à la fonction synaptique et à la stabilité structurelle.

En effet, le couplage de l'exocytose du VS avec une endocytose appropriée est crucial pour maintenir (The Synaptic Vesicle Cycle Revisited: New Insights into the Modes and Mechanisms 2019) :

  • le maintien de la tension superficielle de la membrane plasmique,
  • un équilibre des protéines des VS au niveau du site de libération, qui soutient la libération de neurotransmetteurs via la récupération efficace des cargos des VS, (Molecular Circuitry of Endocytosis at Nerve Terminals 2009),
  • l'identité des VS,
  • la taille du pool de VS, par la formation des stocks de vésicules,
  • Quatre mécanismes possibles de couplage
exocytose/endocytose
    Quatre mécanismes possibles de couplage
    exocytose/endocytose
    (Figure : vetopsy.fr d'après Lou)
    le nettoyage, i.e. clairance, des sites de fusion encombrés par l’ensemble des protéines insérées dans la membrane vésiculaire pour rendre sa compétence au site de libération pour une nouvelle série de vésicules et pour éviter un ralentissement de l’exocytose (What is rate-limiting during sustained synaptic activity: vesicle supply or the availability of release sites 2010).

Mécanismes
possibles

1. Plusieurs processus, qui ne sont pas contradictoires, peuvent détecter l'apparition d'une exocytose et initier en temps opportun une endocytose compensatoire (Sensing Exocytosis and Triggering Endocytosis at Synapses: Synaptic Vesicle Exocytosis–Endocytosis Coupling 2018) :

2. De plus, l’organisation spatiale des zones endocytaires adjacentes aux zones actives, i.e. les zones péri-actives, fournit une base structurelle pour un couplage efficace entre l’exocytose et l’endocytose du VS (loupe modèle par compression).

Transitions du profil de la vésicule d'endocytose

Vue d'ensemble

Dans ce chapitre, nous étudions les mécanismes sous-jacents à la transition Plat ➞ Λ ➞ Ω ➞ Ο observée en temps réel.

Les différences connues dans la machinerie moléculaire semblent difficiles à expliquer de manière satisfaisante les différents modes endocytaires, car la machinerie endocytaire est globalement identique.

1. Par contre, les études des transformations membranaires observées en temps réel offrent une explication solide pour la génération de modes endocytaires différents en termes de vitesses, de quantités et de tailles de vésicules avec la même machinerie moléculaire.

a. Deux processus contribuent chacun pour environ la moitié de chaque mode endocytaire (Preformed Ω-profile closure and kiss-and-run mediate endocytosis and diverse endocytic modes in neuroendocrine chromaffin cells 2021) :

  • la transition préformée Λ ➞ Ω et la fermeture des pores de fusion (kiss-and-run),
  • la transition plat ➞ Λ ➞ Ω ➞ Ο.

b. L'endocytose excessive (endocytose > exocytose), overshoot endocytosis, est causée principalement par la transition préformée Ω ➞ Ο.

Fermeture des pores des profils Ω préformés et pores de fusion
Fermeture des pores des profils Ω préformés et pores de fusion
(Figure : vetopsy.fr d'après Wu et Chan)

2. La différence notable entre ces différents modes est le courant calcique, déclencheur de chaque transformation de la membrane endocytaire et de chaque mode endocytaire.

Le courant calcique contrôle la vitesse de fermeture des pores des profils Ω préformés, le nombre et la taille des vésicules et ainsi, les afflux de calcium faibles à élevés génèrent 

Endocytose et pores de fusion
Endocytose et pores de fusion
(Figure : vetopsy.fr d'après Shin et coll)
bien

Le concept de profils Ω préformés pourrait expliquer plusieurs problématiques précédentes.

3. Par contre, la contribution de la transition plat ➞ O pourrait être plus significative si la transition plat ➞ Λ ➞ Ω ➞ O de faible probabilité est améliorée dans des conditions spécifiques ou dans des types de cellules.

Processus impliqués

Deux processus sont impliqués dans la plupart des modes endocytaires dits dynamine/actine-dépendants pour contribuer à la transition Plat ➞ Λ ➞ Ω ➞ Ο :

bien

Ces deux processus sont étudiés dans un chapitre spécial.

Retour au recyclage vésiculaire