Annexes cutanées
Glandes sébacées : structure et répartition

Citation

>«  Le désir ne naît pas seulement de la chimie des peaux ou des cellules mais de l'obsession de la répétition. »

Paul Nizon

Documentation web

  • La peau et les phanères
    ( infos)
  • Atlas d'histologie humaine et animale ( infos)
  • De l'histologie moléculaire à la pathologie ( infos)
Sommaire

Les annexes cutanées ( infos) sont composées :

  • de phanères ( infos), productions variées chez les animaux dont le système pileux uniquement présent chez les mammifères, quelle que soit l'espèce ( infos) ;
  • de glandes :
    • les glandes sébacées,
    • les glandes sudoripares ( infos).


Les glandes sébacées ( infos) sont, en général, des formations épidermiques annexées à la gaine épithéliale externe du follicule pileux ( infos) et qui s'ouvrent à la surface tégumentaire par l'orifice pilo-sébacé.

Certaines sont indépendantes des poils comme les glandes de Meibomius des paupières ( infos), des glandes du mamelon, des organes génitaux (prépuce, petites lèvres).

Chez les carnivores domestiques, plusieurs poils, avec chacun sa glande sébacée, peuvent sortir d'un même follicule.


Plus le poil est court, plus la glande sébacée et sa sécrétion est importante !


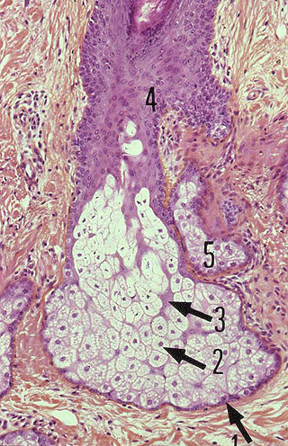
Structure ( infos)

Glande sébacée Les glandes sébacées sont formées d'une couche germinative (1), cellules aplaties identiques aux cellules de la zone germinative de l'épiderme ( infos).

La couche germinative est plaquée contre une membrane basale, elle-même insérée dans une sorte de capsule formée par du tissu conjonctif dense.

Elle fabrique les cellules sécrétrices (2) et les formations cloisonnantes non sécrétrices (3).

Plus on approche du centre de la glande, plus les cellules sont chargées de corps gras qui finit par les désintégrer ( infos). Il peut y avoir ou non de canal central formé par destruction cellulaire.

Chez l'homme, l'évolution cellulaire s'effectue en une semaine environ.


Les glandes sébacées sont des glandes exocrines de type holocrine ( infos).

Les glandes sébacées sont dérivées de bourgeons de la gaine épithéliale externe ( infos).

Elles sont déjà actives chez le foetus et présentes, en quantité abondante, chez le nouveau-né ( infos).

Les glandes sébacées sont des glandes alvéolaires ( infos) simples ou composées en un ou plusieurs acinus ( infos).

Elles sont irriguées par le plexus sous-capillaire et ne possèdent pas d'innervation propre.

Répartition

Le tégument contient des glandes sébacées sur tout le corps excepté :

Répartition des glandes sébacées chez le chien Chez l'homme, elles sont absentes au niveau de la paume des mains et de la plante des pieds.

Certaines zones contiennent des glandes sébacées en quantité plus importante :

  • dans les régions pileuses très fournies comme le dessus du corps, dos, tête et une mention spéciale pour la base de la queue qui correspond à ce qu'on nomme la glande supra-caudale, qui n'est pas une vraie glande ( infos) ;
  • dans les régions cutanéo-muqueuses près des orifices où le poil disparaît.

Chez le chat, les grandes sébacées sont volumineuses autour de la bouche et sur le menton.

L'acné du menton est particulièrement fréquent dans cette espèce.

Rôles des glandes sébacées

Les glandes sébacées ont :

  • un rôle protecteur de l'épiderme (sébum),
  • un rôle dans la communication phéromonale ( infos).

Système tégumentairePeauÉpidermeAutres couches cutanéesTypes de peau
TruffeCoussinetsPhanèresGriffes et onglesPoils et système pileux
Structure du poilFollicule pileuxAnnexes cutanéesCycle folliculaire
Variations du cycle folliculaireVariations du pelage du chien et du chatRobes
Glandes sébacéesGlandes sudoriparesGlandes apocrines

Bibliographie
  • Bourdeau P. - Notion sur la glande sébacée et quelques aspects de son fonctionnement - Le point vétérinaire, Vol. 15, n° 75, septembre 1983
  • http://webapps.fundp.ac.be/umdb/histohuma/histohuma/index.php
  • http://www.histo-moleculaire.com/accueil.htm
  • Grassé P.-P - Traité de zoologie : anatomie, systématique biologie - Tome XVI, Fascicule I, Masson, Paris, 1162 p., 1972
  • Bourdelle E., Bressou C. - Anatomie régionale des animaux domestiques - Tome IV, Baillière, Paris, 502 p., 1953
  • Miller M. E. - Anatomy of the dog - W. B. Saunders Company, Philadelphie, 941 p., 1964
  • Marieb E. N. - Anatomie et physiologie humaines - De Boeck Université, Saint-Laurent, 1054 p., 1993
  • Dadoune J.-P. - Histologie -Médecine-Sciences Flammarion, Paris, 462 p., 1990
  • Alhaidari Z. - Les alopécies - PMCAC, Vol. 26, n° 4, 1991