Système somatosensoriel (somesthésie)
Toucher (tact ou sens tactile) : récepteurs cutanés

Citation

« Il n'y a pas mieux que le regard et le toucher pour savoir où on en est. »

Tahar Ben Jelloun

Sommaire

Les récepteurs cutanés du toucher sont des récepteurs simples ( infos), contrairement aux récepteurs sensoriels complexes ( infos) comme l'oeil, l'organe de l'audition…

Ces récepteurs sont des mécanorécepteurs de trois sortes ( infos) :

Structure de la peau

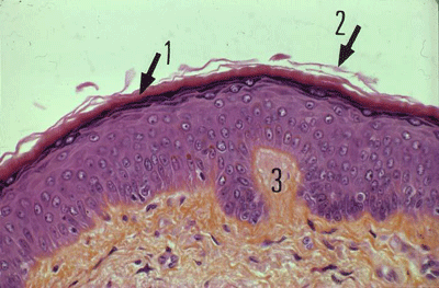
Epithélium pavimenteux kératinisé de type BLa peau est composée de plusieurs couches.

  • L'épiderme est le revêtement le plus superficiel et le plus mince ( infos).
  • Le derme ( infos) donne sa consistance à la peau : il est riche en vaisseaux sanguins et contient de nombreuses terminaisons nerveuses et des organes spécialisés ( infos) : écailles, griffes et ongles et surtout poils et système pileux ( infos).


Le derme contient les récepteurs cutanés impliqués dans le toucher.

  • L'hypoderme ( infos), par ces cellules adipeuses, protège l'organisme des variations thermiques et des chocs mécaniques.

Rappelons que la peau contient également :

  • des thermorécepteurs ( infos) sensibles à la température,
  • des nocicepteurs ( infos) sensibles à la douleur.

Chez l'homme, il est classique de distinguer :

  • Mains et pieds d'enfant la peau glabre ou épaisse ( infos) : paume des mains, plantes des pieds et la partie palmaire des phalanges, dont les récepteurs principaux sont les disques de Merkel ( infos) et les corpuscules de Meissner ( infos).

Elle possède à sa surface des crêtes et des sillons papillaires, qui, par frottement, renseigne sur la texture des objets manipulés ou les mouvements lors de la marche.

  • la peau velue ou fine ( infos) sur tout le reste du corps, dont les récepteurs principaux sont les récepteurs du follicule pileux ( infos).

Elle protège des variations thermiques par le grand nombre de glandes sudoripares ( infos).

Le tissu sous-cutané des deux types de peau contient les corpuscules de Pacini ( infos) et de Ruffini ( infos).

Chez les animaux, la structure cutanée est sensiblement identique.


Les glandes sudoripares eccrines ( infos) sont localisées, chez le chien ou le chat, qu'au niveau des coussinets plantaires ( infos).

Récepteurs cutanés : terminaisons nerveuses libres

SomesthésieToucherRécepteurs cutanésVoies tactiles
Cortex somatosensorielCommunication tactile
Communication tactile chez le chienCommunication tactile chez le chat
Douleur et nociceptionThermoceptionProprioception

Bibliographie
  • http://webapps.fundp.ac.be/umdb/histohuma/histohuma/index.php
  • http://www.histo-moleculaire.com
  • Grassé P.-P - Traité de zoologie : anatomie, systématique biologie - Tome XVI, Fascicule IV, Masson, Paris, 1077 p., 1972
  • Pritchard T.-C., Alloway K.-D. - Neurosciences médicales - De Boeck Université, Bruxelles, 526 p., 2002
  • Bossy J. - Anatomie clinique - Springer-Verlag, Paris, 475 p., 1990
  • Nadeau E. - Neurosciences médicales - Elsevier, Issy-les-Moulineaux, 569 p., 2006
  • Felten D.-L., Jozefowicz R.-F. - Atlas de neurosciences de Netter - Masson, Paris, 306 p., 2006
  • Marieb E. N. - Anatomie et physiologie humaines - De Boeck Université, Saint-Laurent, 1054 p., 1993
  • Rosenzweig M.R., Leiman A.L., Breedlove S.M. - Psychobiologie  - DeBoeck Université, Bruxelles, 849 p., 1998
  • Purves D., Augustine G.J., Fitzpatrick D., Katz L.C., Lamantia A-S, McNamara J.O., Williams S.M. - Neurosciences - De Boeck, 800 p., 2003
  • Kolb B., Whishaw I. - Cerveau et comportement - De Boeck Université, Bruxelles, 1013 p., 2008
  • Bear M.F., Connors B.W., Paradiso M.A. - Neurosciences : à la découverte du cerveau - Editions Pradel, 881 p, 2007