Système somatosensoriel (somesthésie)
Toucher (tact ou sens tactile) : vibrisses ou poils tactiles

Citation

« Le chat a des moustaches dures comme du fil de fer, c'est pourquoi on l'appelle un filin. »

Jean-Charles

Sommaire

Les récepteurs cutanés du toucher sont des récepteurs simples ( infos), contrairement aux récepteurs sensoriels complexes ( infos) comme l'oeil, l'organe de l'audition…

Ces récepteurs sont des mécanorécepteurs de trois sortes ( infos) :

  • Vibrisses du chat des terminaisons nerveuses libres ( infos),
  • des vibrisses,
  • des organes terminaux encapsulés ( infos).


Les vibrisses sont des poils tactiles, épais et raides, effilés à leur extrémité et en général recourbés, situés en des points précis du corps des animaux.

Le nombre des vibrisses est en général assez constant chez un animal. Elles sont présentes même chez des espèces sans poils comme chez les cétacés.

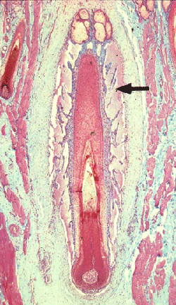
Anatomie des vibrisses

Tous les poils contiennent des récepteurs sensoriels ( infos), mais les vibrisses sont hautement spécialisées.

Les vibrisses sont présentes chez tous les mammifères, mais leur abondance semble liée à l'habitat de l'espèce considérée.

  • Vibrisse Les vibrisses sont particulièrement développées au niveau de la face : museau et lèvre (groupe buccal), menton (groupe sous-mentonnier), joue (groupe zygomatique), région oculaire (groupe sous- et sus-orbitaire). Toutes ces structures sont innervées par le nerf trijumeau ( infos).

Ils sont, par exemple, très développés chez les carnivores qui vivent dans un habitat relativement dense avec de nombreux obstacles ou chez les insectivores. On en retrouve moins chez les ongulés.

  • On les retrouve chez d'autres espèces au niveau du carpe et de l'avant-bras (rongeurs, carnivores) ou sur tout le corps pour les espèces fouisseuses (taupe…)

Les vibrisses, bien que 4 à 5 fois plus longues, possèdent une structure anatomique générale identique aux autres poils ( infos).

  • Toutefois, le follicule pileux est entouré sur 3/4 de sa surface par une structure composée de sinus veineux qui peuvent se remplir ou se vider.
  • De plus, des fibres musculaires lisses et striées peuvent inhiber ces mouvements sanguins, ce qui fait de cette structure un véritable organe contractile.

Entre ces sinus et le follicule pileux se trouve, de chaque côté des sinus, un anneau contractile richement innervé par de nombreuses fibres provenant de la région basale de la vibrisse.

La vibrisse est particulièrement sensible :

  • D'une part, le gonflement des sinus veineux transmet aux fibres nerveuses les vibrations ou les déformations de la vibrisse.
  • Vibrisse D'autre part, les fibres musculaires peuvent mouvoir la vibrisse pour permettre une exploration de l'environnement proche.

Rôles des vibrisses

Prenons l'exemple des moustaches du chat.

Les moustaches lui permettent :

  • de remplacer sa vue proche défaillante ( infos), en s'en servant comme la canne blanche d'un aveugle,
  • de protéger les yeux par un rôle proche de celui des cils,
  • de recueillir des informations sur son environnement proche.
    • Le chat peut, grâce aux vibrisses, ne pas se fourvoyer dans un espace trop étroit en évaluant la distance entre les parois ou de " voir " la nuit.
    • Les vibrisses lui permettent de discriminer la forme et la texture des objets et, surtout, la forme des proies pour leur donner la morsure fatale au niveau du cou ( infos).

Chez les chatons, les vibrisses sont frisées et souples. Il semble que la mère les coupe pour ne pas être blessée à la tétée ( infos).

Positions des vibrisses chez le chat Elles poussent pendant la vie de l'animal pour devenir dures et épaisses.

Les vibrisses servent également à la communication ( infos). Elles sont dirigées :

  • vers l'avant (1) lors de contact amical, ou en éventail (2) lorsqu'il explore un objet,
  • vers l'arrière (3) lors de comportement agonistique ( infos).

Chez certains animaux, comme la taupe ou les animaux vivants dans des galeries, les poils sont hautement spécialisés dans les perceptions tactiles. La queue de la taupe est dressée pour toucher la partie supérieure de la galerie comme un tramway.

Vibrisses et barillets corticaux

Les vibrisses apparaissent bien avant les poils " classiques " au cours du développement embryonnaire.


Cartex somesthésique de la sourisLes stimulations des vibrisses chez les rongeurs ont un rôle inducteur dans le développement cérébral ( infos).

A chaque niveau du système nerveux somatosensoriel, une somatotopie est présente : les vibrisses ont permis une cartographie précise chez le rat.

Les barillets corticaux, régions de l’aire somesthésique ( infos) du néocortex du lobe pariétal reçoivent les influx tactiles en provenance des vibrisses.


L'étude du développement de ces barillets a démontré, comme les expériences de Hubel et Wiesel ( infos), l'existence de plasticité cérébrale et de période sensible ( infos) pour ce développement.

Barillets corticaux et vibrisses du ratThomas A. Woolsey ( infos) a démontré des phénomènes identiques pour les barillets corticaux, régions de l’aire somesthésique du néocortex du lobe pariétal qui reçoit les influx tactiles en provenance des vibrisses ( infos).

Les barillets corticaux (barillets à vibrisses ou whisker barrels), qui ressemblent à des barriques, sont disposés comme les vibrisses ( infos).

  • Si une vibrisse est sectionnée à la naissance, l'influx tactile est absent et le barillet cérébral correspondant ne se développe pas.
  • De plus, les barillets adjacents s'hypertrophient comme pour combler le vide.
Destruction des vibrisses et conséquecs corticales

Organes terminaux encapsulés cutanés

SomesthésieToucherRécepteurs cutanésVoies tactiles
Cortex somatosensorielCommunication tactile
Communication tactile chez le chienCommunication tactile chez le chat
Douleur et nociceptionThermoceptionProprioception

Bibliographie
  • http://webapps.fundp.ac.be/umdb/histohuma/histohuma/index.php
  • http://www.histo-moleculaire.com
  • Dadoune J.-P. - Histologie - Médecine-Sciences Flammarion, Paris, 462 p., 1990
  • Grassé P.-P - Traité de zoologie : anatomie, systématique biologie - Tome XVI, Fascicule IV, Masson, Paris, 1077 p., 1972
  • Pritchard T.-C., Alloway K.-D. - Neurosciences médicales - De Boeck Université, Bruxelles, 526 p., 2002
  • Bossy J. - Anatomie clinique - Springer-Verlag, Paris, 475 p., 1990
  • Nadeau E. - Neurosciences médicales - Elsevier, Issy-les-Moulineaux, 569 p., 2006
  • Felten D.-L., Jozefowicz R.-F. - Atlas de neurosciences de Netter - Masson, Paris, 306 p., 2006
  • Marieb E. N. - Anatomie et physiologie humaines - De Boeck Université, Saint-Laurent, 1054 p., 1993
  • Rosenzweig M.R., Leiman A.L., Breedlove S.M. - Psychobiologie  - DeBoeck Université, Bruxelles, 849 p., 1998
  • Purves D., Augustine G.J., Fitzpatrick D., Katz L.C., Lamantia A-S, McNamara J.O., Williams S.M. - Neurosciences - De Boeck, 800 p., 2003
  • Kolb B., Whishaw I. - Cerveau et comportement - De Boeck Université, Bruxelles, 1013 p., 2008
  • Bear M.F., Connors B.W., Paradiso M.A. - Neurosciences : à la découverte du cerveau - Editions Pradel, 881 p, 2007
  • Tortora G. J., Grabowski S. R. - Principes d'anatomie et de physiologie - DeBoeck Université, Bruxelles, 1121 p., 2001