Annexes cutanées
Glandes sudoripares eccrines (mérocrines)

Citation

« Quand tombe le soir, à cette heure du crépuscule, la terre harassée dégorge une vapeur tiède et grasse, une espèce de sueur qu'il faut toute la nuit pour dissoudre. »

Georges Bernanos

Documentation web

  • La peau et les phanères
    ( infos)
  • Atlas d'histologie humaine et animale ( infos)
  • De l'histologie moléculaire à la pathologie ( infos)
Sommaire

Les annexes cutanées ( infos) sont composées :

  • de phanères ( infos), productions variées chez les animaux dont le système pileux uniquement présent chez les mammifères, quelle que soit l'espèce ( infos) ;
  • de glandes :
    • les glandes sébacées ( infos),
    • les glandes sudoripares :
      • eccrines ou mérocrines,
      • apocrines ( infos).

Glandes sudoripares eccrines ou mérocrines ( infos)

Répartition ( infos)


Les glandes sudoripares eccrines ou mérocrines ( infos) ne se trouvent qu'au niveau des coussinets plantaires chez le chien et le chat ( infos).

Chez l'homme, ce sont, de loin, les plus nombreuses : elles sont présentes sur tout le corps, mais surtout, sur la paume des mains, la plante des pieds et le front ( infos).

Structure


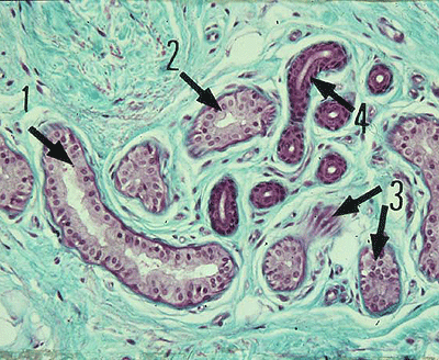
Glandes sudoripares eccrines ou mérocrines Les glandes sudoripares eccrines ou mérocrines ( infos) sont des glandes simples tubulaires spiralées ( infos).

Les glandes sont formées d'un tube long et pelotonné aux deux extrémités : elle s'étend du derme profond (ou même du tissu sous-cutané) à la surface de l'épithélium cutané où elles s'ouvrent par un pore.

Le glomérule dermique, replié sur lui-même, contient la partie sécrétrice (épithélium cubique simple - infos-) et le début du canal excréteur (épithélium cubique bistratifié - infos 1, 2 -). Il est entouré de cellules myo-épithéliales ( infos 1, 2).

Le canal excréteur ou sudorifère, après un trajet rectiligne dans le derme, se pelotonne dans l'épiderme ( infos 1, 2, 3, 4)

Rôles

Chez les carnivores domestiques, les glandes sudripares eccrines permettent d'augmenter l'adhérence des coussinets plantaires.


Chez l'homme, leur rôle est essentiel dans la thermorégulation ( infos) par la transpiration.

Sudation pattesLa sueur, sudation ou transpiration est essentiellement composée de 99 % d'eau et d'électrolytes dont le chlorure de sodium. Dans des conditions normales, l'homme élimine 600 ml de sueur par jour. Chaque litre de sueur évaporé correspond à une perte de 580 Kcal (le quart de l'énergie apportée par la nourriture chez l'homme).


La transpiration est sous le contrôle des neurones thermorégulateurs de l'hypothalamus ( infos).

La transpiration est sous dépendance du système sympathique du système nerveux autonome ( infos), ce qui explique également les sueurs d'origine émotionnelle.

Chez l'homme, on parle de " sueur froide " lors de peur intense, de gêne ou de nervosité.

Ceci explique que, chez le chat en particulier, la sécrétion sudoripare des coussinets est provoquée par la peur.

C'est le cas lors de nos consultations chez des chats particulièrement émotifs.

Glandes sudoripares apocrines

Système tégumentairePeauÉpidermeAutres couches cutanéesTypes de peau
TruffeCoussinetsPhanèresGriffes et onglesPoils et système pileux
Structure du poilFollicule pileuxAnnexes cutanéesCycle folliculaire
Variations du cycle folliculaireVariations du pelage du chien et du chatRobes
Glandes sébacéesGlandes sudoriparesGlandes apocrines

Bibliographie
  • http://webapps.fundp.ac.be/umdb/histohuma/histohuma/index.php
  • http://www.histo-moleculaire.com/accueil.htm
  • Grassé P.-P - Traité de zoologie : anatomie, systématique biologie - Tome XVI, Fascicule I, Masson, Paris, 1162 p., 1972
  • Bourdelle E., Bressou C. - Anatomie régionale des animaux domestiques - Tome IV, Baillière, Paris, 502 p., 1953
  • Miller M. E. - Anatomy of the dog - W. B. Saunders Company, Philadelphie, 941 p., 1964
  • Marieb E. N. - Anatomie et physiologie humaines - De Boeck Université, Saint-Laurent, 1054 p., 1993
  • Dadoune J.-P. - Histologie -Médecine-Sciences Flammarion, Paris, 462 p., 1990
  • Alhaidari Z. - Les alopécies - PMCAC, Vol. 26, n° 4, 1991