Annexes cutanées
Poils et système pileux : structure du follicule pileux

Citation

« Quand le vieux lion se meurt, même les chiens ont du courage et lui arrachent les poils de sa moustache. »

Proverbe syrien

Documentation web

  • La peau et les phanères
    ( infos)
  • Atlas d'histologie humaine et animale ( infos)
  • De l'histologie moléculaire à la pathologie ( infos)
Sommaire


Le follicule pileux est une production épidermique, s'enfonçant profondément dans le derme ( infos).

Le follicule pileux ou pilo-sébacé ( infos) peut être divisé en plusieurs parties :

  • l'infundibulum, cavité en communication avec l'extérieur, jusqu'à la glande sébacée ;
  • l'isthme, abouchement de la glande sébacée ;
  • la région sous-isthmique, partie inférieure jusqu'à la papille dermique ( infos), composée de la racine du poil et ses gaines ( infos).

La morphologie du follicule pileux varie grandement avec le cycle folliculaire ( infos).

Tige pilaireLe follicule pileux comprend plusieurs couches ( infos).

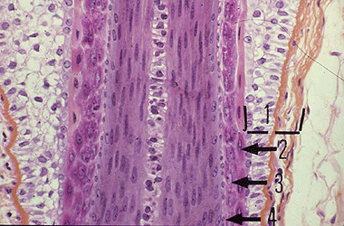
Gaine épithéliale interne ( infos)

La gaine épithéliale interne comporte trois couches :

  • la couche de Henlé (2), assise unicellulaire externe,
  • la couche de Huxley (3), assise au minimum bicellulaire,
  • la cuticule ou épidermicule externe (4), au contact du poil, dont la couche unicellulaire s'imbrique avec la cuticule ou l'épidermicule de la tige pilaire.

Cette gaine s'arrête au niveau de l'isthme ( cf. plus haut).

Gaine épithéliale externe ( infos)

Tige pilaire La gaine épithéliale externe varie suivant sa localisation :

  • Dans la partie inférieure, autour du bulbe, elle contient une à deux couches de cellules, riches en glycogène, à aspect vacuolaire.
  • Au-dessus du bulbe, elle s'épaissit.


Les cellules se kératinisent au-dessus de l'abouchement de la glande sébacée pour se confondre avec l'épithélium banal.

Gaine conjonctive et membrane basale ( infos)

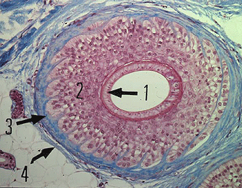
La gaine conjonctive comporte deux couches (4) :

  • la couche externe comporte des fibres longitudinales,
  • la couche interne des fibres circulaires.

Coupe transversale du follicule pileux

 

 

 

 

 

Les fibres contiennent du collagène surtout, de l'élastine et de nombreux fibroblastes.

La vitrée (3), membrane basale hyaline acellulaire, la sépare de la gaine épithéliale externe. Ses dimensions varient avec celle du poil.

Système tégumentairePeauÉpidermeAutres couches cutanéesTypes de peau
TruffeCoussinetsPhanèresGriffes et onglesPoils et système pileux
Structure du poilFollicule pileuxAnnexes cutanéesCycle folliculaire
Variations du cycle folliculaireVariations du pelage du chien et du chatRobes
Glandes sébacéesGlandes sudoriparesGlandes apocrines

Bibliographie
  • http://webapps.fundp.ac.be/umdb/histohuma/histohuma/index.php
  • http://www.histo-moleculaire.com/accueil.htm
  • Grassé P.-P - Traité de zoologie : anatomie, systématique biologie - Tome XVI, Fascicule I, Masson, Paris, 1162 p., 1972
  • Bourdelle E., Bressou C. - Anatomie régionale des animaux domestiques - Tome IV, Baillière, Paris, 502 p., 1953
  • Miller M. E. - Anatomy of the dog - W. B. Saunders Company, Philadelphie, 941 p., 1964
  • Marieb E. N. - Anatomie et physiologie humaines - De Boeck Université, Saint-Laurent, 1054 p., 1993
  • Dadoune J.-P. - Histologie -Médecine-Sciences Flammarion, Paris, 462 p., 1990
  • Alhaidari Z. - Les alopécies - PMCAC, Vol. 26, n° 4, 1991