• Comportement du chien et
    du chat
  • Celui qui connait vraiment les animaux est par là même capable de comprendre pleinement le caractère unique de l'homme
    • Konrad Lorenz
  • Biologie, neurosciences et
    sciences en général
  •  Le but des sciences n'est pas d'ouvrir une porte à la sagesse infinie,
    mais de poser une limite à l'erreur infinie
    • La vie de Galilée de Bertold Brecht

Reproduction : cycle des voies génitales chez la femelle
Cycle utérin (ou menstruel) : phase menstruelle (menstruation)

Sommaire
  1. Reproduction
    1. Vue d'ensemble
      1. Reproduction et sexualité
      2. Comportement sexuel
      3. Physiologie de la reproduction
    2. Reproduction chez le chien
    3. Reproduction chez le chat
  2. Anatomie du système génital
  3. Physiologie de la reproduction
    1. Mise en place pendant la période embryonnaire
    2. Puberté
    3. Gamétogenèse
      1. Cellules germinales et cellules somatiques
      2. Méiose
      3. Spermatogenèse
      4. Ovogenèse
        1. Phase de multiplication des ovogonies
        2. Phase d'accroissement ou de croissance
        3. Phase de maturation
    4. Fonction ovarienne
      1. Vue d'ensemble de l'activité cyclique
        1. Cycle ovarien
          1. Ovulation
          2. Cycle ovarien et folliculogenèse
        2. Cycle oestral
        3. Cycle menstruel
      2. Évolution de la fonction ovarienne au cours de la vie
        1. In utero
        2. Entre la naissance et la puberté
        3. À la puberté
        4. À la ménopause
      3. Développement folliculaire
        1. Vue d'ensemble du développement folliculaire
        2. Sortie de la réserve ovarienne
          1. Follicules concernés
          2. Mécanisme de la sortie ovarienne
        3. Croissance basale des follicules
          1. Follicules secondaires
            1. Follicule " plein "
            2. Follicule pré-antral
          2. Follicules tertaires
          3. Mécanisme de la croissance basale
        4. Cycle ovarien ou développement folliculaire terminal
          1. Phase folliculaire
            1. Recrutement des follicules
              1. Follicules recrutables
              2. Mécanisme de recrutement
            2. Sélection des follicules
              1. Follicules ovulatoires
              2. Mécanisme de sélection
            3. Dominance du (ou des follicules)
              1. Survie des follicules et récepteurs à la LH
              2. Atrésie des autres follicules
          2. Phase ovulatoire : ovulation
            1. Phase ovulatoire et hormones : pic de LH
            2. Conséquences du pic de LH
              1. Rupture folliculaire
              2. Maturation de l'ovule dominant
              3. Captation de l'ovule par les trompes utérines
              4. Modifications vasculaires
              5. Modifications hormonales
          3. Phase lutéale
            1. Formation du corps jaune
            2. Évolution du corps jaune
              1. Corps jaune cyclique
              2. Corps jaune de pseudogestation des carnivores
              3. Corps jaune de gestation
                1. Espèces placenta dépendant
                2. Espèces corps jaune dépendant
                3. Rôle de l'embryon dans la gestation
        5. Cycle des voies génitales
          1. Cycle menstruel
            1. Phase menstruelle ou menstruation
            2. Phase proliférative
              1. Reconstitution de l'endomètre
              2. Glaire cervicale
            3. Phase sécrétoire
          2. Cycle vaginal et vulvaire
    5. Coït ou copulation
      1. Coït chez le chien
      2. Coït chez le chat
      3. Érection
      4. Éjaculation
    6. Fécondation
  4. Gestation
    1. Vue d'ensemble
    2. Préimplantation
    3. Nidation
    4. Embryogenèse
      1. Annexes foetales
      2. Placenta
      3. Développement embryonnaire
    5. Gestation chez le chien
    6. Gestation chez le chat
    7. Alimentation de la mère pendant la gestation
  5. Parturition (mise bas)
    1. Vue d'ensemble
    2. Physiologie de la parturition
    3. Parturition chez la chienne
    4. Parturition chez la chatte
  6. Lactation 

 

Au cours du cycle ovarien, la modification des voies génitales provoque le plus souvent des modifications structurales et fonctionnelles du système génital femelle.

définition

Le cycle des voies génitales correspond aux modifications des voies génitales (variables selon les espèces) lors du cycle ovarien :

Cycle ovarien et cycle menstruel
(Figure : vetopsy.fr)
attention

Nous parlerons surtout du cycle utérin de la femme, encore appelé cycle menstruel, en soulignant les différences essentielles avec celui de nos chiennes et nos chattes.

Cycle menstruel

bien

Le myomètre et l'endomètre, tuniques de la paroi de l'utérus subissent des modifications cycliques, provoquées par les oestrogènes et la progestérone sécrétées par l'ovaire au cours du cycle ovarien.

Ces modifications permettent de préparer l'utérus pour accueillir l'implantation (nidation) du zygote (oeuf fécondé). Ce milieu favorable doit être constitué par un tissu :

Chez la femme, l'utérus passe par trois phases :

attention

Ces phénomènes concernent surtout la couche fonctionnelle de l'endomètre (2/3 environ). La couche basale qui subsiste la régénère par la suite.

Phase menstruelle ou menstruation (1-4ème jour)

femmePendant la phase folliculaire ovarienne, une partie de la muqueuse utérine ou endomètre (appelée couche fonctionnelle) desquame en 4 jours environ, ce qui provoque des saignements abondants, nommés également menstruation (ou règles chez la femme, marquant le premier jour du cycle de 28 jours).

chien Chez la chienne, ces saignements, peu abondants, ne correspondent pas aux hémorragies menstruelles de la femme, même si certains parlent de règles (prooestrus de la chienne).

Les écoulements vulvaires sanguinolents (métrorragie physiologique) sont provoqués par la diapédèse des hématies à travers la muqueuse utérine congestionnée en plein développement (premier jour du cycle)

chatAucune modification des voies génitales, et en particulier, aucun écoulement sanguinolent n'est visible chez la chatte (prooestrus de la chatte).

La progestérone a un double rôle :

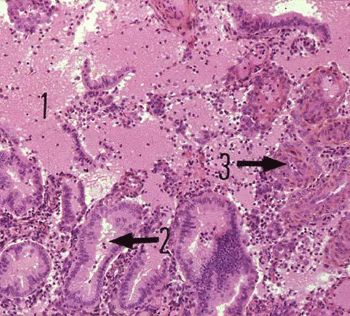
Phase menstruelle utérine
Phase menstruelle utérine
(Photo : webapps.fundp.ac.be)

1. Dès le 21ème jour du cycle, la progestérone stimule la synthèse de prostaglandines qui provoque une vasoconstriction des artères spirales.

Les artères spirales sont, seules, hormono-dépendantes et leur vasoconstriction provoque une ischémie.

2. La diminution du taux de progestérone, dans la deuxième partie de la phase lutéale, provoque :

  • un retour à la normale du tonus vasculaire qui provoque un éclatement des parois des capillaires (3) et une hémorragie massive (globules rouges en quantité en 1). Les glandes tubulaires sont déformées (2).
  • des ruptures des membranes lysosomiales qui libèrent leurs enzymes dans les cellules : une autodigestion cellulaire se produit.

La progestérone, sécrétée pendant le début de la phase lutéale, protège les cellules des lysosomes, qui sont des organites intracellulaires dont le rôle est la digestion intra-cellulaire ou extra-cellulaire grâce à de nombreux enzymes, dont les métalloprotéases (MMP ou matrix metallo-proteases), responsables des destructions des membranes cellulaires et des jonctions entre cellules.

La couche fonctionnelle nécrose et la couche basale résiduelle reste intacte car les artères basales qui l'irriguent ne sont pas sensibles aux hormones sexuelles.

Phase proliférative (4-14ème jour)