• Comportement du chien et
    du chat
  • Celui qui connait vraiment les animaux est par là même capable de comprendre pleinement le caractère unique de l'homme
    • Konrad Lorenz
  • Biologie, neurosciences et
    sciences en général
  •  Le but des sciences n'est pas d'ouvrir une porte à la sagesse infinie,
    mais de poser une limite à l'erreur infinie
    • La vie de Galilée de Bertold Brecht

Reproduction : cycle des voies génitales chez la femelle
Cycle menstruel : phase proliférative et sécrétoire

Sommaire
  1. Reproduction
    1. Vue d'ensemble
      1. Reproduction et sexualité
      2. Comportement sexuel
      3. Physiologie de la reproduction
    2. Reproduction chez le chien
    3. Reproduction chez le chat
  2. Anatomie du système génital
  3. Physiologie de la reproduction
    1. Mise en place pendant la période embryonnaire
    2. Puberté
    3. Gamétogenèse
      1. Cellules germinales et cellules somatiques
      2. Méiose
      3. Spermatogenèse
      4. Ovogenèse
        1. Phase de multiplication des ovogonies
        2. Phase d'accroissement ou de croissance
        3. Phase de maturation
    4. Fonction ovarienne
      1. Vue d'ensemble de l'activité cyclique
        1. Cycle ovarien
          1. Ovulation
          2. Cycle ovarien et folliculogenèse
        2. Cycle oestral
        3. Cycle menstruel
      2. Évolution de la fonction ovarienne au cours de la vie
        1. In utero
        2. Entre la naissance et la puberté
        3. À la puberté
        4. À la ménopause
      3. Développement folliculaire
        1. Vue d'ensemble du développement folliculaire
        2. Sortie de la réserve ovarienne
          1. Follicules concernés
          2. Mécanisme de la sortie ovarienne
        3. Croissance basale des follicules
          1. Follicules secondaires
            1. Follicule " plein "
            2. Follicule pré-antral
          2. Follicules tertaires
          3. Mécanisme de la croissance basale
        4. Cycle ovarien ou développement folliculaire terminal
          1. Phase folliculaire
            1. Recrutement des follicules
              1. Follicules recrutables
              2. Mécanisme de recrutement
            2. Sélection des follicules
              1. Follicules ovulatoires
              2. Mécanisme de sélection
            3. Dominance du (ou des follicules)
              1. Survie des follicules et récepteurs à la LH
              2. Atrésie des autres follicules
          2. Phase ovulatoire : ovulation
            1. Phase ovulatoire et hormones : pic de LH
            2. Conséquences du pic de LH
              1. Rupture folliculaire
              2. Maturation de l'ovule dominant
              3. Captation de l'ovule par les trompes utérines
              4. Modifications vasculaires
              5. Modifications hormonales
          3. Phase lutéale
            1. Formation du corps jaune
            2. Évolution du corps jaune
              1. Corps jaune cyclique
              2. Corps jaune de pseudogestation des carnivores
              3. Corps jaune de gestation
                1. Espèces placenta dépendant
                2. Espèces corps jaune dépendant
                3. Rôle de l'embryon dans la gestation
        5. Cycle des voies génitales
          1. Cycle menstruel
            1. Phase menstruelle ou menstruation
            2. Phase proliférative
              1. Reconstitution de l'endomètre
              2. Glaire cervicale
            3. Phase sécrétoire
          2. Cycle vaginal et vulvaire
    5. Coït ou copulation
      1. Coït chez le chien
      2. Coït chez le chat
      3. Érection
      4. Éjaculation
    6. Fécondation
  4. Gestation
    1. Vue d'ensemble
    2. Préimplantation
    3. Nidation
    4. Embryogenèse
      1. Annexes foetales
      2. Placenta
      3. Développement embryonnaire
    5. Gestation chez le chien
    6. Gestation chez le chat
    7. Alimentation de la mère pendant la gestation
  5. Parturition (mise bas)
    1. Vue d'ensemble
    2. Physiologie de la parturition
    3. Parturition chez la chienne
    4. Parturition chez la chatte
  6. Lactation 

 

L'utérus, lors du cycle menstruel, passe par trois phases :

  • la phase menstruelle ou menstruation (du latin mensis " mois ", du grec mene, " lune " dont les cycles sont également de 28 jours),
  • la phase proliférative,
  • Cycle ovarien et cycle menstruel
    (Figure : vetopsy.fr)
    la phase sécrétoire.
attention

Ces phénomènes concernent surtout la couche fonctionnelle de l'endomètre (2/3 environ). La couche basale qui subsiste la régénère par la suite.

Phase
proliférative
(4-14ème jour)

Reconstruction
de l'endomètre

Après l'élimination par voie vaginale, des débris de la couche fonctionnelle de l'endomètre, on assiste à une cicatrisation à partir de la couche basale résiduelle de la muqueuse qui a été conservée pendant la phase folliculaire ovarienne.

  • Cette phase commence déjà au moment de la menstruation, et, au départ, elle semble plutôt correspondre à une cicatrisation " normale " pour empêcher des hémorragies massives qu'à une stimulation par les oestrogènes, car leur taux est très faible pendant cette période.
  • Puis, à partir du 6ème jour, le taux des oestrogènes augmente et stimulent les nombreux récepteurs à cette hormone dans tout l'endomètre.

La muqueuse utérine se reconstruit.

Elles possèdent des microvillosités et multiplient les organites cytoplasmiques nécessaires à la phase sécrétoire suivante.

Les oestrogènes induisent la formation de récepteurs à la progestérone dans la muqueuse utérine, en prévision de la sécrétion de progestérone par le corps jaune.

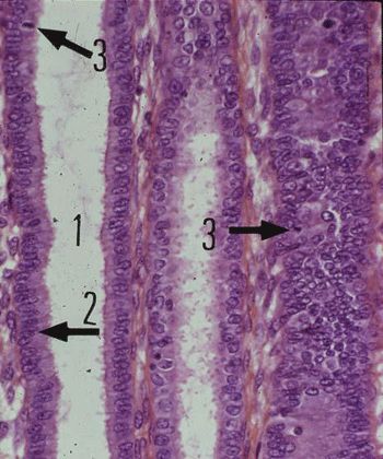
Glaire cervicale

Pendant ce temps, le mucus sécrété par le col utérin ou " glaire cervicale " change de consistance.

Elle est produite par les glandes endocervicales : cet hydrogel visqueux est riche en eau et contient, entre autres, des glycoprotéines formant des filaments.

Elle subit des modifications cycliques.

  • Pendant la période lutéale et le début de la phase folliculaire ovarienne, et sous l'action de la progestérone, elle forme un bouchon épais et collant (par la présence de mucine) : elle est peu abondante et forme des mailles serrées (cristallisation linéaire). Elle protège mécaniquement la cavité utérine contre les germes pathogènes, mais aussi chimiquement par la présence de lysozyme.
  • Pendant la période ovulatoire ovarienne, sous le contrôle des oestrogènes, elle se fluidifie (98% d'eau) et forme des sortes de canaux (cristallisation en feuilles de fougère due au NaCl), qui permettent le passage des spermatozoïdes dans le corps de l'utérus : elle devient légèrement basique ce qui protège les spermatozoïdes du pH acide du vagin.
Glaire cervicale en fonction du cycle
Glaire cervicale en fonction du cycle

Le col utérin s'ouvrirait grâce à l'élévation du taux de FSH, concomitant de la décharge ovulante de LH.

Phase sécrétoire (14-28ème jour)

La phase sécrétoire est synchrone de la phase lutéale ovarienne. On peut la décomposer en :

  • une phase de charge glycogénique du 15ème au 18ème jour (appphoto infos & appphotoinfos),
  • une phase de sécrétion proprement dite du 19ème au 23ème jour (appphotoinfos),
  • une phase de pseudogestation du 24ème au 25ème jour (appphotoinfos & appphotoinfos & appphotoinfos),
  • une phase de prédécidualisation au 26ème (appphotoinfos & appphotoinfos),
  • une phase de prémenstruation du 27ème au 28ème jour (appphotoinfos & appphotoinfos).
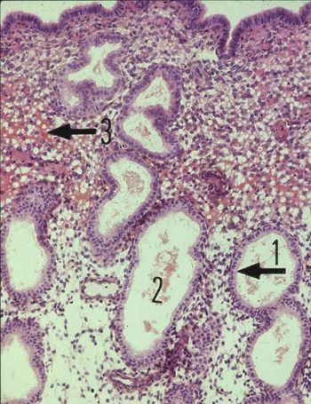
Phase sécrétoire utérine
Phase sécrétoire utérine
(Photo : webapps.fundp.ac.be)

Le corps jaune sécrète de la progestérone, ce qui pour effet de développer davantage la muqueuse utérine.

bien

La sécrétion de glycogène est maximale au 21ème jour du cycle, ce qui correspond à la fenêtre d'implantation du blastocyste s'il y a eu fécondation.

La morphologie de l'endomètre le fait comparer à de la dentelle, d'où le nom de dentelle utérine (ou endométriale) à ce stade. Il est oedématié par l'accumulation de fluide interstitiel (3).

La glaire cervicale reforme un maillage serré pour former le " bouchon muqueux " qui bloque le passage aux spermatozoïdes et permet une nidation " douillette " de l'embryon dans l'utérus. Ce processus est sous le contrôle de la progestérone.

Deux cas de figure peuvent se présenter :

  • S'il y a fécondation, la réaction déciduale est provoquée par l'invasion syncitiotrophoblastique de l'endomètre : cette décidualisation, qui se propage à partir du point d'implantation du blastocyste, se caractérise par le développement exacerbé de cette phase sécrétoire.
  • S'il n'y a pas fécondation, l'élimination de la muqueuse utérine stimule la sécrétion de FSH et le cycle recommence.

Cycle des voies génitales : vagin et vulve