Structure générale de la peau (1)
Épiderme
- Système tégumentaire
- Peau
- Annexes cutanées
La peau La peau est la couche de tissu externe généralement souple et flexible recouvrant le corps d'un animal vertébré.
Elle fait partie du système tégumentaire et est composée de plusieurs couches.
- L'épiderme (epi, au-dessus, derma, la peau) est le revêtement le plus superficiel et le plus mince.
- La jonction dermo-épidermique, véritable région de la peau, permet l'accrochage de l'épiderme sur le derme.
- Le derme donne sa consistance à la peau.
- L'hypoderme ou tissu sous-cutané, comme son nom l'indique, ne fait pas partie de la peau, mais est en relation anatomique et fonctionnelle avec elle.
Le derme contient de nombreux récepteurs cutanés
Épiderme
L'épiderme est un épithélium pavimenteux stratifié kératinisé.
Vue d'ensemble
1. Un épithélium, dans ce cas de revêtement (il en existe des glandulaires), est un tissu aux cellules contiguës, contrairement au tissu conjonctif.
kératinisé de type A
(Figure : vetopsy.fr d'après webapps.fundp.ac.be)
il est dit :
- pavimenteux, car il est formé de cellules aplaties qui forment comme une sorte de dallage,
- stratifié, car il se compose de plusieurs couches de cellules (" strates ").
- kératinisé car la partie superficielle contient des cellules mortes à forte teneur en kératine.
2. L'épiderme est formé de plusieurs couches (4 ou 5) et de plusieurs sortes de cellules (4).
- Les deux premières couches (surtout basale et moins intensément celle des cellules à épines) sont caractérisées par une multiplication cellulaire.
- Les trois dernières plus superficielles sont le siège du phénomène de kératinisation.
L'épiderme est renouvelé de manière continue.
3. Chez l'homme, il est classique de distinguer deux types de peau.
a. La peau glabre ou épaisse comprenda :
- la paume des mains, la plantes des pieds et la partie palmaire des phalanges chez l'homme,
- les coussinets chez les animaux.
Dans ces régions, l'épithélium pavimenteux stratifié kératinisé est dit de type A.
b. la peau velue ou fine est répartie sur tout le reste du corps.
Dans ces régions, l'épithélium pavimenteux stratifié kératinisé est dit de type B.
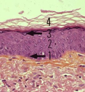
Couche basale (stratum germinatum)
La couche basale, la plus profonde, est
une couche " germinative " (infos).
kératinisé de type B
(Figure : vetopsy.fr d'après
webapps.fundp.ac.be)
1. Elle est formée de kératinocytes cellules les plus nombreuses de l'épiderme, qui, en se divisant, progressent vers l'extérieur en se différenciant pour composer les autres couches de l'épiderme.
Les kératinocytes produisent la kératine.
2. On trouve d'autres cellules.
a. Les mélanocytes sont des cellules qui produisent la mélanine dans des LRO (Lysosome-Related Organelles) appelés mélanosomes.
- La mélanine joue un rôle dans la protection contre les ultraviolets solaires.
- La mélanogenèse est régulée par de nombreux facteurs (génétiques, hormonaux, nerveux…).
b. Les cellules de Langherans sont des macrophages à rôle immunitaire contre les antigènes de contact.
Ces cellules ont un rôle dans toutes les allergies cutanées et le rejet des greffes par exemple.
c. Les cellules de Merkel font partie d'un récepteur sensoriel qu'on appelle disque de Merkel.
Couches intermédiaires
Après la couche basale, ensuite trois couches intermédiaires.
1. La couche des cellules à épines ou stratum spinosum ou corps muqueux de Malpighi (infos) est formée de cellules losangiques qui peuvent encore se diviser.
Ces cellules sont liées les unes aux autres par des desmosomes, appelés épines de Schultze en microscopie optique.
2. La couche granuleuse ou stratum granulosum (infos) contient des cellules qui se chargent de volumineux granules de kératohyaline et d'éléidine, précurseurs de la kératine épithéliale dites " molles ", i.e. épidermique, par opposition aux kératines dites " dures ", exokératine des phanères.
3. La couche claire ou stratum lucidum, présente que dans les régions à peau épaisse (glabre), est transparente , d'où son nom, avec des cellules aplaties kératinisées à noyau pycnotique.
Couche cornée (stratum corneum)
La couche cornée est la couche la plus superficielle.
1. Elle est formée de nombreuses couches de cellules mortes anuclées et aplaties contenant la kératine, dans une matrice lipidique.
a. Cette matrice lipidique est composée par :
- des céramides, sphingolipides qui composent 50% de cette couche,
- du cholestérol (25%),
- des acides gras libres (15%).
b. La matrice lipidique forme une barrière :
- qui prévient une forte évaporation, et donc la déperdition hydrique
- qui protège également l'organisme contre toutes les agressions extérieures, i.e. frottements, entrée de microorganismes, polluants…
Remarque : EOS (Esterified Omega-hydroxyacyl-Sphingosine) intervient avec eLOX3 et 12R-LOX dans la formation de cette barrière.
(Figure : vetopsy.fr)
2. La composition des céramides diffèrent selon les régions et l'épaisseur de la peau.
Un article récent explique très bien, ces différences : Biogeographic and disease-specific alterations in epidermal lipid composition and single-cell analysis of acral keratinocytes (2022).
a. La peau est très épaisse (infos) au niveau de la peau glabre.
- C'est le cas de la paume des mains (
infos), la plante des pieds et la partie palmaire des phalanges chez l'homme, les coussinets chez les animaux.
- Cela va de pair avec un développement important des papilles dermiques.
Chez les pachydermes, cette couche est extrêmement développée.
b. Elle est en général fine (infos) dans les régions velues.
Autre couches cutanées
Système tégumentairePeauÉpidermeAutres couches cutanéesTypes de peauTruffeCoussinetsPhanèresGriffes et onglesPoils et système pileuxStructure du poilFollicule pileuxAnnexes cutanéesCycle folliculaireVariations du cycle folliculaireVariations du pelage du chien et du chatRobesGlandes sébacéesGlandes sudoriparesGlandes apocrines