Annexes cutanées
Poils et système pileux : structure du poil

Citation

« Chez l'homme, le poil est le seul organe sexuel que l'on peut montrer sans faire scandale. »

Armand Hotinsky

Documentation web

  • La peau et les phanères
    ( infos)
  • Atlas d'histologie humaine et animale ( infos)
  • De l'histologie moléculaire à la pathologie ( infos)
Sommaire

Le follicule pileux (folliculus, petit sac), malgré les différentes catégories de poils ( infos), présente une structure homogène chez les mammifères ( infos).

Vue d'ensemble

Structure du follicule pileuxLe follicule pilo-sébacé comprend :

  • le poil et ses gaines,
  • la glande sébacée ( infos),
  • le muscle arrecteur ou horripilateur du poil ( infos).

Poil proprement dit

On distingue deux parties dans un poil ( infos) :

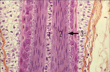
Tige pilaire

La tige du poil, de section de différentes formes (circulaire, ovalaire ou aplatie), est la partie supérieure du poil excluant le racine. Elle est formée de trois couches ( infos).

1. La moelle, couche la plus interne, est composée de cellules de formes variables.

Ces cellules proviennent de la papille dermique ( cf. plus bas).

Entre les cellules se trouvent des espaces souvent remplis d'air.

Certains poils, surtout de petit diamètre, ne contiennent pas de moelle.

La moelle des poils des muridés est très importante.

  2. Le cortex ou écorce, couche intermédiaire, est formé de cellules fusiformes, au grand axe parallèle à celui du poil.

Les cellules sont entièrement kératinisées.


Tige pilaire Les cellules fusiformes contiennent les pigments qui donne la couleur au poil.

On trouve dans le cortex de nombreuses tonofibrilles parallèles au grand axe.

3. La cuticule ou épidermicule interne, couche la plus externe, est formée de cellules kératinisées, disposées comme les tuiles d'un toit, le bord libre vers la pointe du poil.

Cette structure donne au poil son aspect dentelé et lui permet de s'imbriquer dans l'épidermicule externe, couche interne de la gaine épithéliale interne ( infos).


  Les cellules de la cuticule sont anucléées et kératinisées.

Le nombre de cellules pour faire le tour du poil, est variable : une (disposition coronale), deux (disposition semi-coronale) ou plus (disposition imbriquée).

Racine du poil ( infos)

Racine du poilLa racine du poil comporte également trois couches comme la tige.

Les couches se fusionnent au bas de la racine du poil avec l'épidermicule externe, couche interne de la gaine épithéliale interne ( infos 1, 2).

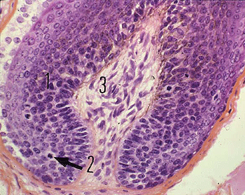
Bulbe pileux ( infos)

La partie inférieure du follicule se renfle et forme le bulbe pileux ( infos 1, 2).

Coupe transversale du follicule pileux

 

 

 

 

 

 

 


Les cellules centrales produisent les cellules de la moelle pilaire, les adjacentes, les cellules du cortex, les cellules externes, la cuticule et la gaine épithéliale externe.

Dans un poil en croissance, le bulbe est déprimé à sa base par la papille dermique, cavité profonde contenant du tissu conjonctif très vascularisé qui assure sa nutrition et permet la régénération du poil ( infos).

Les cellules matricielles indifférenciées se divisent intensément pour former les cellules du poil et des gaines.

Follicule pileux

Système tégumentairePeauÉpidermeAutres couches cutanéesTypes de peau
TruffeCoussinetsPhanèresGriffes et onglesPoils et système pileux
Structure du poilFollicule pileuxAnnexes cutanéesCycle folliculaire
Variations du cycle folliculaireVariations du pelage du chien et du chatRobes
Glandes sébacéesGlandes sudoriparesGlandes apocrines

Bibliographie
  • http://webapps.fundp.ac.be/umdb/histohuma/histohuma/index.php
  • http://www.histo-moleculaire.com/accueil.htm
  • Grassé P.-P - Traité de zoologie : anatomie, systématique biologie - Tome XVI, Fascicule I, Masson, Paris, 1162 p., 1972
  • Bourdelle E., Bressou C. - Anatomie régionale des animaux domestiques - Tome IV, Baillière, Paris, 502 p., 1953
  • Miller M. E. - Anatomy of the dog - W. B. Saunders Company, Philadelphie, 941 p., 1964
  • Marieb E. N. - Anatomie et physiologie humaines - De Boeck Université, Saint-Laurent, 1054 p., 1993
  • Dadoune J.-P. - Histologie -Médecine-Sciences Flammarion, Paris, 462 p., 1990
  • Alhaidari Z. - Les alopécies - PMCAC, Vol. 26, n° 4, 1991
  • Royal Canin - Guide pratique de l'élevage félin -