• Comportement du chien et
    du chat
  • Celui qui connait vraiment les animaux est par là même capable de comprendre pleinement le caractère unique de l'homme
    • Konrad Lorenz
  • Biologie, neurosciences et
    sciences en général
  •  Le but des sciences n'est pas d'ouvrir une porte à la sagesse infinie,
    mais de poser une limite à l'erreur infinie
    • La vie de Galilée de Bertold Brecht

Neurophysiologie : synapse
Vésicules synaptiques : cycle vésiculaire
5. Fusion membranaire et libération du neurotransmetteur
Hémifusion et dynamique des pores

Sommaire
définition

La fusion membranaire des vésicules synaptiques provoque génère un profil en forme de Ω avec un pore de fusion qui peut varier de dimension.

Modèle récent d'exocytose/endocytose vésiculaire
Modèle récent d'exocytose/endocytose vésiculaire
(Figure : vetopsy.fr d'après Wu et Chan)

Transformation de la membrane lors d'exocytose

1. La fusion des vésicules au niveau de la membrane plasmique génère un profil en forme de Ω avec un pore de fusion qui peut :

  • se dilater,
  • se contracter et/ou se fermer.

2. Le profil Ω peut :

  • s'agrandir,
  • se rétrécir,
  • Tige de fusion (hémifusion)
    Tige de fusion (hémifusion)
    (Figure : vetopsy.fr d'après Grubmüller et coll)
    fusionner au niveau de la membrane plasmique.

Hémifusion

1. Les protéines de fusion sont censées déformer une petite zone de membrane pour former des structures en forme de pointes, i.e. la tige de fusion, qui font saillie vers le partenaire de fusion et favorisent l'étalement des lipides des feuillets externes.

L'expansion de la tige, appelée aussi " expansion radiale de la tige ", est caractérisée par la formation d'un contact initial entre les feuillets proximaux.

L'hémifusion, la fusion entre des feuillets proximaux des bicouches de la membrane de fusion, a été considérée comme la voie de la fusion complète (Hemi-fused structure mediates and controls fusion and fission in live cells 2016).

L'hypothèse concurrente, i.e. un pore revêtu de protéines SNARE en tant que produit de fusion initial, a été abandonnée grâce à la microscopie STED (Stimulated Emission Depletion ou déplétion par émission stimulée).

bien

L'hémifusion est étudiée dans un chapitre spécial.

Hémifusions des profils Ω
Hémifusions des profils Ω
(Figure : vetopsy.fr d'après Zhao et coll)

2. La structure d'hémifusion est un profil Ω faisant face au cytosol imperméable à de petites molécules.

a. Une fraction importante (-30-40%) de vésicules subit une hémifusion avec une durée de vie détectable, parmi laquelle :

  • Expansion du pore de fusion
    Expansion du pore de fusion
    (Figure : vetopsy.fr d'après Zhao et coll)
    un tiers transforme l'hémifusion en une fusion complète dans les limites de 0,1 à 26 s,
  • le reste transforme cette hémifusion, qu'on peut alors nommer hémifission, en une fission complète.

b. La régulation de la voie de l'hémifusion peut ainsi orchestrer la probabilité de libération, sous-jacente à diverses formes de plasticité synaptique (Short-term plasticity at the calyx of Held 2002 et Calcium Channels and Short-term Synaptic Plasticity 2013 et Intracellular Ca2+ release and synaptic plasticity - a tale of many stores 2017).

2. Les protéines SNARE pourraient former des parties du pore de fusion, car elles se sont avérées exposées à des solvants polaires pendant la fusion dans des nano-disques (Exocytotic fusion pores are composed of both lipids and proteins 2016).

Dynamique d'ouverture des pores de fusion

Après cette hémifusion, on assiste à une fusion complète pour libérer le neurotransmetteur.

Dans le kiss-and-run, certains scientifiques estiment qu'une fusion incomplète des deux bicouches, avec des oscillations du pore de fusion, permet aux petites molécules de neurotransmetteur de s'échapper.

1. Les mesures de conductance, i.e inverse de la résistance, montrent la formation des pores de fusion inférieurs à 5 nm en quelques millisecondes (The exocytotic event in chromaffin cells revealed by patch amperometry 1997 et Two modes of fusion pore opening revealed by cell-attached recordings at a synapse 2006).

hémifusion des profils Ω
hémifusion des profils Ω
(Figure : vetopsy.fr d'après Zhao et coll)

Remarque : pour les capacités et les conductances des différents pores, vous pouvez lire : The fusion pore, 60 years after the first cartoon (2018).

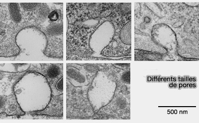
Tailles des pores de fusion
Tailles des pores de fusion
(Figure : vetopsy.fr d'après Shin et coll)

2. En revanche, la microscopie STED visualise directement les pores, mais uniquement pour les pores de grande taille (60 nm) à une vitesse lente, i.e. 26-300 ms (Visualization of Membrane Pore in Live Cells Reveals a Dynamic-Pore Theory Governing Fusion and Endocytosis 2018).

  • Les vésicules de 180 à 720 nm s'ouvrent par un pore de 0 à 490 nm.

Ces pores peuvent se développer rapidement à moins de 9 nm/ms pour permettre une libération rapide du contenu.

  • Certains pores sont initialement de petite taille (-60 nm) pendant -0,5-4 s, et peuvent se dilater brutalement.
bien

La dynamique des pores, visualisée par la microscopie STED, permet de redéfinir le cadre classique de la fusion.

Dynamique des pores de fusion
Dynamique des pores de fusion
(Figure : vetopsy.fr d'après Wu et Chan)

3. Les profils Ω générés par fusion et marqués par PHG peuvent (Vesicle Shrinking and Enlargement Play Opposing Roles in the Release of Exocytotic Contents 2020) :

a. En conséquence, il y a sept modes reflétant la taille des profils Ω et le statut du pore :

  • agrandi-quiescent (enlarge-stay), i.e. élargi, pore ouvert,
  • agrandi-fermé (enlarge-close), i.e. élargi, pore fermé,
  • inchangé (stay), i.e. même taille, pore ouvert,
  • fermé (close), i.e. même taille, pore fermé,
  • rétréci-quiescent (shrink-stay), i.e. partiellement rétréci, pore ouvert,
  • rétréci-fermé (shrink-close), i.e. partiellement rétréci, pore fermé,
  • rétréci-fusion (shrink-fusion), i.e. profil Ω rétréci complètement.

b. La fusion à effondrement complet, i.e. full-collapse fusion, le mode de fusion prédit auparavant, n'a pas été observée (Formation and disassembly of a contractile actomyosin network mediates content release from large secretory vesicles 2017).

Les sept types de fusion
Les sept modes de fusion
(Figure : vetopsy.fr d'après Zhao et coll)

c. Ces modes de fusion sont courants, mais n'ont pas été pleinement reconnus précédemment et peuvent expliquer des différences de capacité électrique, i.e. capitance en anglais, dans les enregistrements.

  • Les événements de fusion liés au rétrécissement sont associés à un pore plus petit pour générer une libération lente et faible.
  • Les événements de fusion liés à l'agrandissement sont associés à un pore plus grand pour générer une libération rapide et forte.

3. Les pores de fusion jusqu'à 490 nm peuvent rester ouverts ou, se rétrécissent et se ferment en fonction du changement de taille du profil Ω.

Conséquences : différents modes de fusion