• Comportement du chien et
    du chat
  • Celui qui connait vraiment les animaux est par là même capable de comprendre pleinement le caractère unique de l'homme
    • Konrad Lorenz
  • Biologie, neurosciences et
    sciences en général
  •  Le but des sciences n'est pas d'ouvrir une porte à la sagesse infinie,
    mais de poser une limite à l'erreur infinie
    • La vie de Galilée de Bertold Brecht

Système génital mâle : glandes annexées à l'urètre
Prostate et glandes bulbo-urétrales

Sommaire
bien

Les annexes de l'urètre comprennent :

définition

La prostate est une glande sexuelle mâle, située à la limite des cavités abdominale et pelvienne.

Prostate du chien
Prostate et conduits déférents du chien
(Photo : vetopsy.fr d'après Friskies)

La prostate dérive de la paroi du sinus uro-génital (loupedifférenciation du sinus uro-génital chez le mâle) proche de la terminaison des conduits mésonéphrotiques.

Morphologie de
la prostate

1. La prostate est souvent décrite comme une glande impaire, médiane et bilobée, qui recouvre l'urètre et le col de la vessie.

attention

La prostate un ensemble de glandes multiples pourvues chacune d'un canal excréteur.

La prostate présente deux parties :

  • le corps de la prostate, volumineux et bilobé chez le chien et le chat,
  • une partie disséminée le long de la paroi de l'urètre membranacé.
chien et chat

Chez le chien et le chat, le corps de la prostate constitue pratiquement la totalité de la glande.

2. Le corps de la prostate, de couleur grisâtre, entoure la première partie de l'urètre et le col de la vessie. Elle est recouverte par le péritoine chez les carnivores.

  • Chez le chien, la prostate entoure complètement l'urètre, qui passe dans sa partie supérieure, et se trouve en région pubienne.
    • De forme ovoïde, elle mesure 2 à 3 cm pour 6 à 8 gr environ dans les races moyennes.
    • La face dorsale et ventrale possède un sillon médian.
  • système génital du chat
    Système génital du chat
  • Chez le chat, la prostate n'entoure pas entièrement l'urètre en face ventrale, et est complétée par deux autres glandes sexuelles, les glandes bulbo-urétrales - glandes de Cowper - (cf. plus bas).

La face ventrale de la prostate (avec la partie prostatique de l'urètre) et la face dorsale est en contact avec le rectum.

bien

La prostate est facilement palpable par toucher rectal.

La taille et la position de la prostate varient en fonction de l'âge chez le chien et peut être sujette à des pathologies multiples (infections, hyperplasie, métaplasie squameuse, kystes, tumeurs…}.

3. La prostate est très sensible aux stéroïdes sexuels.

Les anti-androgènes ou les oestrogènes provoque l'atrophie de la prostate avec un arrêt de la sécrétion prostatique.

Structure de la prostate

La prostate (appphotoinfos) est formée par :

  • une capsule épaisse,
  • une substance glandulaire,
  • des conduits excréteurs.
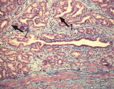
Histologie de la prostate
Histologie de la prostate
(Photo : webapps.fundp.ac.be)

1. La substance glandulaire est divisée en lobules et comportent des groupes de glandes composées tubulo-alvéolaires (1).

  • La capsule, les parois des lobules et le conjonctif péri-glandulaire sont riches en fibres musculaires lisses (2) qui se contractent au moment de l'.
  • Les conduits excréteurs se déversent dans les canalicules prostatiques qui s'ouvrent dans le sinus prostatique de l'urètre.

2. Le liquide prostatique (plasma séminal) est un liquide incolore et alcalin qui fluidifie et augmente le volume de l'éjaculat.

Chien

Le liquide prostatique constitue 97% du volume de l'éjaculat chez le chien (environ 30% chez l'homme).

Le caractère alcalin du liquide est primordial pour la fécondation.

Glandes bulbo-urétrales (glandes de Cowper)

Chien

Les glandes bulbo-urétrales n'existent pas chez le chien.

chatChez le chat, les glandes bulbo-urétrales sont globuleuses (5 à 6 mm de diamètre) et possèdent un conduit unique qui débouche dans la partie membranacée de l'urètre.

Leur sécrétion claire et visqueuse est une composante du sperme : elle lubrifie l'urètre et pourrait neutraliser l'acidité de petites quantités d'urine encore présente dans l'urètre.

Pénis