• Comportement du chien et
    du chat
  • Celui qui connait vraiment les animaux est par là même capable de comprendre pleinement le caractère unique de l'homme
    • Konrad Lorenz
  • Biologie, neurosciences et
    sciences en général
  •  Le but des sciences n'est pas d'ouvrir une porte à la sagesse infinie,
    mais de poser une limite à l'erreur infinie
    • La vie de Galilée de Bertold Brecht

Système génital mâle
Urètre : morphologie

Sommaire
bien

L'urètre est un sinus uro-génital car il sert aussi bien à l'élimination de l'urine que du sperme.

L'urètre prolonge le col de la vessie, reçoit les voies spermatiques (canal déférent chez le chien et le chat) et les orifices des glandes annexes (prostate, glandes bulbo-urétrales), pour se terminer par l'ostium externe de l'urètre qui communique avec l'extérieur.

Chez le mâle, l'urètre, long (18 à 20 cm chez l'homme) comprend deux parties qui n'ont pas du tout la même structure :

  • une partie pelvienne,
  • une partie pénienne.

chien Chez le chien, l'urètre est long (15 à 35 cm selon les races).

chatChez le chat, les deux parties sont à peu près égales (5 cm).

Remarque : Chez la femelle, l'urètre, court (4 cm de long chez la femme), s'étend de l'orifice urétral interne à l'orifice externe situé entre le clitoris et le vagin.

Organes génitaux du chien mâle
Organes génitaux du chien mâle
(Figure : vetopsy.fr)

Partie pelvienne de l'urètre

La partie pelvienne commence au col de la vessie par une partie étroite (ostium interne de l'urètre), s'élargit pour se terminer à l'arcade ischiatique par une partie de nouveau rétrécie, l'isthme de l'urètre.

Urètre pelvien
Urètre pelvien
( vetopsy.fr d'après Barone)
chien et chat

La partie pelvienne est longue chez le chien et le chat (5 cm) de par la position de la vessie sur le bord antérieur du pubis.

Partie prostatique
de l'urètre

La partie prostatique (ou urètre prostatique), crâniale, est recouverte par la prostate d'où son nom (1).

Le départ de la partie pelvienne est appelée urètre pré-prostatique.

chien et chat

Chez les carnivores domestiques, les corps spongieux (2) sont peu abondants dans la partie pelvienne de l'urètre.

1. Sur son plafond, se trouve la crête urétrale qui s'épaissit pour former une zone bombée, le colliculum séminal ou veru montanum, en dessous duquel s'ouvrent l'utricule prostatique (sauf chez le chat où il n'existe pas) et les ostiums éjaculateurs chez de nombreuses espèces.

Le veru montanum est constitué de tissu érectile qui se dilate lors de l'érection pour boucher l'urètre et empêcher l'éjaculat d'atteindre la vessie (éjaculation rétrograde) et la miction lors de l'éjaculation (loupe émission de sperme)

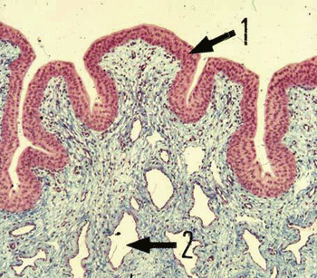
Histologie de l'urètre prostatique
Histologie de l'urètre prostatique
(Photo : webapps.fundp.ac.be)

chien Chez le chien, la crête urétrale est peu saillante et les orifices des canaux déférents entourent l'abouchement de l'utricule prostatique.

2. Le sinus prostatique, de chaque côté de la crête urétrale, voit déboucher les orifices des canalicules de la prostate.

Partie membranacée
de l'urètre

La partie membranacée (ou urètre membraneux), caudale, bien plus longue chez les chiens (4 à 6 cm) et les chats, est accolée ventralement au rectum.

chat De chaque côté de la partie membranacée se trouvent une glande bulbo-urétrale qui n'existe pas chez le chien

Partie pénienne de l'urètre : corps spongieux du pénis

1. La partie pénienne - urètre pénien ou urètre spongieux - (1) est constituée, entre autres, de tissu érectile et constitue le corps spongieux du pénis (2).

Le diamètre de l'urètre est relativement uniforme, excepté dans sa partie caudale formant le bulbe du pénis, élargissement notable.

Histologie de l'urètre pénien
Histologie de l'urètre pénien
(Photo : webapps.fundp.ac.be)

Le bulbe du pénis se rétrécit par la suite pour former un tube placé dans le sillon urétral des corps caverneux.

chien Chez le chien, le bulbe est bilobé et est recouvert par un muscle bulbo-spongieux épais. Les corps spongieux sont situés dans un sillon urétral formés :

  • par les corps caverneux,
  • puis par l'os pénien en région ventrale,
  • et enfin, le gland, pour se terminer par l'ostium externe de l'urètre qui communique avec l'extérieur.

chatChez le chat, le bulbe est développé et le corps spongieux est en situé sur la face dorsale car le pénis est rétrofléchi.

2. Un corps spongieux de l'urètre existe aussi chez les femelles.

Structure de l'urètre