• Comportement du chien et
    du chat
  • Celui qui connait vraiment les animaux est par là même capable de comprendre pleinement le caractère unique de l'homme
    • Konrad Lorenz
  • Biologie, neurosciences et
    sciences en général
  •  Le but des sciences n'est pas d'ouvrir une porte à la sagesse infinie,
    mais de poser une limite à l'erreur infinie
    • La vie de Galilée de Bertold Brecht

Encéphale
Cortex cérébral : types de neurones (2)

Sommaire
définition

Le cortex cérébral est composé de plusieurs types de neurones, en particulier de cellules granulaires, mais aussi plus rarement de cellules de de Cajal-Retzius et cellules de von Economo.

Les 6 colonnes du néocortex
Les 6 colonnes du néocortex
(Figure : vetopsy.fr)

Ces neurones sont disposés dans les différentes couches corticales.

bien

Les couches corticales et les différents types de cortex sont étudiés dans un chapitre spécial.

Cellules
granulaires

Les cellules granulaires sont représentées par un grand nombre de types neuronaux, dont la seule caractéristique commune est de posséder de très petits corps cellulaires (soma).

1. On les retrouve essentiellement dans :

bien

Leurs rôles sont étudiés dans les chapitres correspondants.

2. En général, les cellules granulaires possèdent :

3. Toutefois, les cellules granulaires divergent sur le plan fonctionnel et anatomique, à part leur petit soma.

  • Par exemple, les cellules granulaires du bulbe olfactif sont GABAergiques et sans axone.
  • Les cellules granulaires du gyrus denté ont des axones à projection glutamatergique.

Cellules de Cajal-Retzius

1. Les cellules de Cajal-Retzius (cellules CR ou C-RC) ou cellules horizontales de Cajal sont une population hétérogène de types cellulaires producteurs de reeline, retrouvées dans la couche moléculaire (I) du cortex cérébral (Human cerebral cortex Cajal-Retzius neuron: development, structure and function. A Golgi study 2015).

Cellules de Cajal-Retzius (cellules CR ou C-RC)
Cellules de Cajal-Retzius (cellules CR ou C-RC)
(Figure : vetopsy.fr d'après Marín-Padilla)

2. La reeline est une glycoprotéine de la matrice extracellulaire (ECM) sécrétée qui aide à réguler les processus de migration et de positionnement neuronaux dans le cerveau en développement en contrôlant les interactions cellule-cellule.

  • Le C-RC orchestre l'arrivée, la taille et la stratification de tous les nouveaux neurones pyramidaux (d'origine épendymaire) de la matière grise du néocortex.
  • Ses terminaisons axoniques s'étendent radialement et horizontalement sur toute la première lame, établissant des contacts avec les terminaisons dendritiques de tous les neurones pyramidaux, quels que soient leur taille, leur emplacement et/ou leurs rôles fonctionnels éventuels.

3. Outre ce rôle dans le développement précoce, la reeline, chez l'adulte :

bien

La reeline et sa signalisation sont étudiées dans un chapitre spécial.

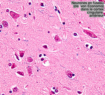
Neurones de von Economo (VEN) ou neurones en fuseau

Les neurones de von Economo (VEN) ou neurones en fuseau sont un type particulier de neurones trouvés dans la couche V.

Ces neurones ont été découverts et décrits pour la première fois en 1925 par le psychiatre et neurologue autrichien Constantin von Economo (1876-1931).

1. Les VEN sont bipolaires et caractérisés par, par exemple du cortex fronto-insulaire  :

  • leur soma ou corps cellulaire de grande taille en fuseau, d'où leur nom,
  • un axone apical (ou dendrite apicale) unique s'étendant vers la surface corticale,
  • une unique dendrite basale tournée vers la substance blanche.

Les dendrites des VEN adjacentes s'alignent parallèlement les unes aux autres et partagent ainsi une orientation spatiale commune perpendiculaire à la surface corticale (The von Economo neurons in frontoinsular and anterior cingulate cortex in great apes and human 2010).

Remarque : il ne faut pas les confondre avec les cellules fusiformes.

Neurones en fuseau (de von Economo)
Neurones en fuseau (de von Economo)
(Figure : vetopsy.fr d'après Nephron)

2. Les VEN sons retrouvés uniquement dans :

Remarque : dans ces régions, on trouve une autre catégorie cellulaire dans la couche V, i.e. les fork-cells (FN) a deux dendrites apicales (Von Economo Neurons and Fork Cells: A Neurochemical Signature Linked to Monoaminergic Function 2018).

3. Les neurones de Von Economo sont des cellules relativement grandes qui peuvent permettre une communication rapide à travers de grands cerveaux comme celui de l'homme et des grands singes, des éléphants et des cétacés, ces derniers en possédant trois fois plus que l'homme.

  • Ces neurones pourraient provenir d'une adaptation neuronale obligatoire dans de très grands cerveaux, permettant un traitement et un transfert rapide de l'information selon des projections très spécifiques et qui ont évolué en relation avec les comportements sociaux émergents (Total Number and Volume of Von Economo Neurons in the Cerebral Cortex of Cetaceans 2009.
  • La présence apparente de ces neurones spécialisés uniquement chez les mammifères hautement intelligents pourrait être un exemple d'évolution convergente.

3. Ces neurones sont détruits sélectivement dans la démence fronto-temporale (bvFTD) et pourraient jouer un rôle particulier dans des compétences sociales et émotionnelles complexes (loupedysfonctionnements du réseau de saillance)

Rerour au cortex cérébral