• Comportement du chien et
    du chat
  • Celui qui connait vraiment les animaux est par là même capable de comprendre pleinement le caractère unique de l'homme
    • Konrad Lorenz
  • Biologie, neurosciences et
    sciences en général
  •  Le but des sciences n'est pas d'ouvrir une porte à la sagesse infinie,
    mais de poser une limite à l'erreur infinie
    • La vie de Galilée de Bertold Brecht

Système génital femelle : voies génitales internes
Utérus : structure de la paroi (endomètre et muqueuse cervicale)

Sommaire
  1. Reproduction
  2. Anatomie du système génital
    1. Vue d'ensemble du système génital
    2. Embryologie du système génital
    3. Anatomie du système génital mâle
    4. Anatomie du système génital femelle
      1. Ovaires ou gonades femelles : section glandulaire
        1. Fonctions et développement des ovaires
        2. Morphologie des ovaires
        3. Moyens de fixité des ovaires
        4. Structure des ovaires
          1. Couche superficielle
          2. Stroma ovarien
            1. Medulla (zone vasculaire)
            2. Cortex (zone parenchymateuse)
        5. Cycle ovarien
      2. Voies génitales internes
        1. Trompes utérines
          1. Conformation des trompes utérines
          2. Morphologie des trompes utérines
            1. Infundibulum ou pavillon
            2. Ampoule
            3. Isthme
            4. Portion utérine
          3. Structure des trompes utérines
          4. Fonctions des trompes utérines
            1. Captation de l'ovule
            2. Lieu de la fécondation
            3. Conduction du zygote vers la cavité utérine
        2. Utérus
          1. Morphologie de l'utérus
            1. Ligaments suspenseurs de l'utérus
            2. Différents types d'utérus
          2. Conformation de l'utérus
            1. Conformation externe de l'utérus
              1. Cornes utérines
              2. Corps de l'utérus
              3. Col de l'utérus (cervix)
            2. Conformation interne de l'utérus
            3. Structure de la paroi utérine
              1. Périmètre (périmétrium)
              2. Myomètre (myometrium)
                1. Structure du myomètre
                2. Fonctions du myomètre
              3. Endomètre (endometrium)
                1. Structure de l'endomètre proprement dit
                  1. Muqueuse
                  2. Stroma - propria mucosae - (chorion ou tissu conjonctif utérin)
                  3. Vascularisation
                  4. Glandes utérines
                2. Structure de la muqueuse cervicale
                3. Cycle utérin
        3. Vagin
          1. Vagin proprement dit
            1. Morphologie du vagin
            2. Structure du vagin
          2. Vestibule du vagin
            1. Morphologie du vestibule du vagin
            2. Structure du vestibule du vagin
              1. Muqueuse
              2. Glandes vestibulaires
              3. Bulbe du vestibule
              4. Muscle constricteur du vestibule
      3. Organes génitaux externes
        1. Vulve
        2. Clitoris

 

définition

L'utérus, aussi appelée matrice, est un organe creux suspendu à la région lombaire par le ligament large où se déroule la gestation.

Sa conformation varie fortement au cours des cycles ovariens et au cours de la vie de l'animal.

La structure de la paroi utérine est composée de trois tuniques :

Structure de l'utérus
Structure de l'utérus
(Photo : Charlotte L. Ownby/
http://oregonstate.edu/vetmed/facultystaff
)

L'endomètre, épais chez nos carnivores domestiques, peut être différencié en deux parties :

Structure de l'endomètre
proprement dit

Muqueuse

1. La muqueuse est composée d'un épithélium cubique simple (épithélium utérin) avec sa membrane basale, formée de deux sortes de cellules :

  • les cellules ciliées,
  • les cellules non-ciliées, possédant des microvillosités (1).
Epithélium de l'endomètre
Epithélium de l'endomètre
(Photo : webapps.fundp.ac.be)

2. La proportion des cellules varie, comme celles des trompes utérines, en fonction de l'âge et de la période du cycle ovarien.

Les cellules ciliées sont rares avant la puberté, puis sont abondantes pendant la phase proliférative, pour se raréfier lors des autres périodes (loupecycle utérin).

Stroma ou chorion

Le stroma - propria mucosae - (ou chorion ou tissu conjonctif utérin) est épais et formé de plusieurs couches :

1. une couche fonctionnelle (4) divisée en :

  • une couche superficielle (couche compacte - stratum compactum -) conjonctive très riche en cellules, ressemblant au mésenchyme embryonnaire (2 de la photo précédente),
  • une couche profonde (couche spongieuse - stratum spongiosum -) formée de fibres de collagènes et riche en vaisseaux sanguins.
Structure de l'endomètre
Structure de l'endomètre
(Photo : webapps.fundp.ac.be)

chienchatChez les carnivores, cette différenciation n'est pas évidente.

2. une couche basale résiduelle (3) chez la femme, qui, seule, subsiste lors de la menstruation, après desquamation de la couche compacte et la couche spongieuse.

bien

L'endomètre s'epaissît fortement pendant le proestrus (phase folliculaire ovarienne ou phase menstruelle chez la femme), et surtout le metoestrus (phase proliférative et phase lutéale ou sécrétoire).

chatCette prolifération forme des plis de la muqueuse qui peuvent être profonds et former des cryptes, comme chez la chatte pendant l'oestrus où l'endomètre paraît posséder des franges.

attention

En embryologie, le chorion désigne toutes les structures placentaires d’origine foetale, donc à même patrimoine génétique, dérivant du mésenchyme et du trophoblaste : c'est pour cela que les villosités placentaires sont dites " choriales ".

Vascularisation

La vascularisation de l'endomètre provient de la couche moyenne (stratum vasculare) du myomètre qui fournit les artères basales. De ces artères, partent :

  • des capillaires qui vont alimenter les plexus péri-glandulaires,
  • des artérioles qui alimentent la partie superficielle en formant un réseau extrêmement complexe.
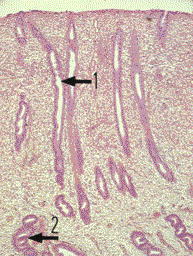
Glandes de l'endomètre
Glandes de l'endomètre
(Photo : webapps.fundp.ac.be)

femmeCes artérioles sont spiralées chez la femme et appelées artères spirales dont la contraction a un rôle essentiel pendant la menstruation et la placentation.

Glandes utérines

Les glandes utérines sont des glandes tubulaires simples qui présentent des variations importantes au cours du cycle ovarien. Elles se développent :

chien Chez la chienne, il en existent deux sortes : des glandes courtes appelés aussi cryptes et des glandes longues.

Structure de la muqueuse cervicale

La muqueuse cervicale ou muqueuse du col utérin possède une structure différente de celle de l'endomètre proprement dit, en ce sens qu'elle est dépourvue de glandes dans de nombreuses espèces.

  • femme Les glandes cervicales sont présentes chez la femme et la chatte.
  • Elles n'existent pas chez la chienne.
Muqueuse du col utérin
Muqueuse du col utérin
(Photo : webapps.fundp.ac.be)

La structure de la muqueuse cervicale varie peu en fonction du cycle ovarien.

1. L'épithélium contient peu de cellules ciliées, mais surtout des mucocytes, qui secrètent un mucus abondant ou glaire cervicale.

La glaire cervicale s'accumule surtout dans les plis de l'épithélium pénétrant dans le chorion et formant des cryptes.

femme2. Chez la femme, on distingue (loupe histologie du col) :

bien

Pendant l'oestrus, la production de mucus est augmentée pour favoriser le passage éventuel des spermatozoïdes (voyage des spermatozoïdes vers l'ovule).

2. La propria mucosae possède de nombreuses fibres de collagène qui s'oedématient fortement par l'action des hormones ovariennes, d'où la modification du col pendant l'oestrus.

Vagin