• Comportement du chien et
    du chat
  • Celui qui connait vraiment les animaux est par là même capable de comprendre pleinement le caractère unique de l'homme
    • Konrad Lorenz
  • Biologie, neurosciences et
    sciences en général
  •  Le but des sciences n'est pas d'ouvrir une porte à la sagesse infinie,
    mais de poser une limite à l'erreur infinie
    • La vie de Galilée de Bertold Brecht

Système génital mâle : section glandulaire
Testicules : structure

Sommaire
définition

Les testicules sont les glandes génitales (gonades) mâles et correspondent à la section glandulaire du système génital mâle.

Nous avons déjà étudié les fonctions et la morphologie des testicules.

bien

Vous pouvez voir des diapositives de coupes histologiques du testicule sur l'excellent atlas d'histologie humaine et animale.

Charpente du testicule

1. La séreuse du testicule n'est autre que lame viscérale de la tunique vaginale.

2. L'albuginée ou tunique albuginée (albus, blanc), collée à la séreuse, forme un sac fibreux (fibres de collagène, fibres élastiques) relativement épais chez le chien.

  • Elle contient des vaisseaux sanguins en partie superficielle et moyenne chez les carnivores qui sont logés dans des canaux.
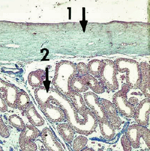
  • Albuginée et lobules testiculaires
    Albuginée et lobules testiculaires
    (Photo : webapps.fundp.ac.be)
    L'albuginée se contracte régulièrement pour évacuer les spermatozoïdes et le liquide testiculaire.

La photo ci-contre montre l'albuginée en 1 avec départ d'une cloison de lobule et les tubes séminifères en 2.

Les testicules des rongeurs ne sont pas cloisonnés.

3. Des expansions de l'albuginée cloisonnent le testicule en lobules et convergent en profondeur pour former pour former un cône fibreux, le mediastinum testis (ou corps de Highmore).

Le mediastinum testis est un tissu conjonctif lâche dans lequel se trouvent :

  • de nombreux vaisseaux,
  • le rete testis.

Le rete testis (réseau de Haller) est formé de lacunes (appphotoinfos ) dans lesquelles :

Le rete testis est formé par la ramification et les anastomoses entre les cordons testiculaires et les tubules mésonéphrotiques (loupedifférenciation du testicule).

Chez la femelle, le pendant du rete testis est le rete ovarii sous forme de vestige dans le hile de l'ovaire.

Lobules du testicule

Chaque testicule est composé de 200 à 300 lobules chez l'homme, dans lesquels se trouvent, outre de nombreux vaisseaux sanguins :

Tissu interstitiel

Le tissu interstitiel contient de nombreuses cellules qui baignent dans le liquide interstitiel, essentiel dans les fonctions endocrine et paracrine du tissu testiculaire.

bien

Les plus importantes sont les cellules interstitielles (ou cellules de Leydig) au réticulum très développé, qui produisent les hormones stéroïdiennes sexuelles, et en particulier, la testostérone.

Ce tissu est riche en celules myoïdes (contractiles), en vaisseaux sanguins et en lymphatiques, ainsi que d'autres cellules libres.

Tubes séminifères

Les tubes séminifères (du latin semen-fere, " qui porte la semence ") sont constitués de deux parties inégales.

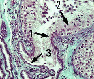
Tube séminifère, houppe sertolienne et tube droit
Tube séminifère, houppe sertolienne
et tube droit
(Photo : webapps.fundp.ac.be)

1. Les tubes séminifères contournés (1 à 4 par lobule chez l'homme) produisent les spermatozoïdes (spermatogenèse).

Ils commencent en cul de sac près de la membrane limitante et sont formés un épithélium spermatogène ou séminal (1) qui comprend :

étonnement

Les tubes séminifères atteignent 2 à 3 m de longueur. La longueur totale chez l'étalon est de 2000 mètres (350 mètres chez l'homme).

2. les tubes séminifères droits se raccordent au rete testis qui constituent, avec lui, les premières voies de l'excrétion du sperme.

Sur la photo ci-contre, on voit en 1, la houppe sertolienne (anneau souvent plus développé d'un côté de la paroi), en 2 le tube séminifère et en 3 le tube droit.

Enveloppes des testicules