• Comportement du chien et
    du chat
  • Celui qui connait vraiment les animaux est par là même capable de comprendre pleinement le caractère unique de l'homme
    • Konrad Lorenz
  • Biologie, neurosciences et
    sciences en général
  •  Le but des sciences n'est pas d'ouvrir une porte à la sagesse infinie,
    mais de poser une limite à l'erreur infinie
    • La vie de Galilée de Bertold Brecht

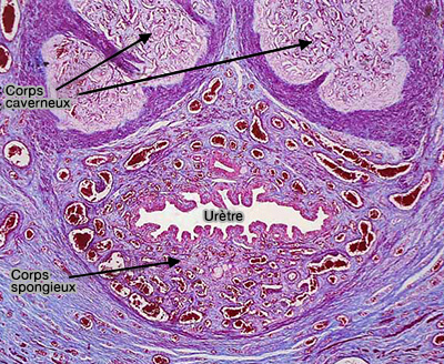
Système génital mâle : formations érectiles annexées à l'urètre
Corps caverneux : structure

Sommaire

Après avoir étudié la morphologie du corps caverneux, voyons sa structure.

Coupe transversale du pénis du chien
Coupe transversale du pénis du chien
(Photo : vetopsy.fr d'après Friskies)

La structure du corps caverneux est sensiblement identique à celle du corps spongieux.

Albuginée

Son albuginée (2) fibro-élastique :

  • est bien plus épaisse, blanche et très résistante,
  • forme les trabécules du corps caverneux, sortes de cloisons incomplètes dans lesquelles se logent les vaisseaux du tissu érectile.

Cavernes et
artère du pénis

Vue d'ensemble

1. Les trabécules entourent les aréoles ou cavernes du corps caverneux très extensibles, réseau de capillaires extrêmement dilatés, provenant de l'artère du pénis (artère pénienne), qui jouent un grand rôle dans l'érection.

Histologie des corps caverneux
Histologie des corps caverneux
(Photo : vetopsy.fr d'après siumed.edu)

Cette artère du pénis, branche de l'artère pudentale interne (ou honteuse interne) donne également l'artère périnéale superficielle ou périnéo-scrotale, pour irriguer une petite partie de ces tissus, essentiellement irrigués par l'artère pudentale externe superficielle et profonde.

2. L'artère du pénis se divise en :

Rôle lors de l'érection

Les divisions de ces artères qui se retrouvent dans les trabécules des corps érectiles sont très flexueuses pour pouvoir suivre les modifications de longueur et de grosseur du pénis.

Artères hélicines

Artères à dispositif de bloc (à coussinet)
Artères à dispositif de bloc (à coussinet)
(Figure : vetopsy.fr d'après AdrienHEP)

Les artères hélicines, qui proviennent, dans de nombreuses espèces, des artères profondes du pénis, présentent des flexuosités sur leurs trajets formant des boucles artérielles.

1. Du point de vue histologique, un dédoublement de la limitante élastique interne, i.e. fibres de collagène ondulées, fibres élastiques en pont qui maintiennent plissées les fibres de collagène, contient le coussinet, i.e. un faisceau musculaire lisse qui fait saillie et obture plus ou moins la lumière et sert de valve.

  • Les cellules musculaires lisses du coussinet ont une direction longitudinale, alors que les léiomyocytes de la media ont une répartition concentrique, i.e. elles sont perpendiculaires.
  • Le tonus sympathique (noradrénergique) et la sécrétion de substances vaso-constrictives par les cellules endothéliales, les endothélines, maintient l'artère enroulée par contaction des cellules du coussinet : l'afflux sanguin est faible et le sang est détourné par des shunts artério-veineux vers la veine dorsale profonde.
Histologie des corps caverneux
Artères et veines lors de l'érection
(Figure : vetopsy.fr d'après Molodysky et coll)

2. Lors d'un stimulus nerveux ou hormonal, l'inhibition du tonus sympathique et l'activation du parasympathique provoquent le relâchement des fibres musculaires du coussinet qui déroule l'artère hélicine et qui provoque sa vasodilatation.

La vasodilation, via le monoxyde d'azote (NO) et la prostaglandine 1 (PGE1), augmente le débit du sang dans les espaces sinusoïdes qui se remplissent, i.e. déclenche l'érection.

Veines caverneuses

Les veines caverneuses ne possèdent pas de musculeuse, donc sont écrasées lors de l'érection pour empêcher le sang de s'y écouler.

Corps spongieux du gland