• Comportement du chien et
    du chat
  • Celui qui connait vraiment les animaux est par là même capable de comprendre pleinement le caractère unique de l'homme
    • Konrad Lorenz
  • Biologie, neurosciences et
    sciences en général
  •  Le but des sciences n'est pas d'ouvrir une porte à la sagesse infinie,
    mais de poser une limite à l'erreur infinie
    • La vie de Galilée de Bertold Brecht

Télencéphale
Sillons télencéphaliques
Sillon central ou scissure de Rolando

Sommaire
  1. En construction

 

définition

Le sillon central (CS), i.e. scissure de Rolando, sépare le lobe pariétal du lobe frontal qui lui est antérieur.

Sillon central (CS) ou scissure de Roland oet gyri adjacents
Sillon central (CS) ou scissure de Rolando et gyri adjacents
(Figure : vetopsy.fr)

Anatomie du sillon central

Sillons principaux du lobe pariétal médial
Sillons principaux du lobe pariétal médial
(Figure : vetopsy.fr)

1. Le sillon central (CS), i.e. scissure de Rolando, du nom de l'anatomiste italien Luigi Rolando (1773–1831) sépare le lobe pariétal du lobe frontal qui lui est antérieur.

Lobe parétal (en jaune)
Lobe parétal (en jaune)
(Animation : Life Science Databases - LSDB -)

a. Sur la face latérale encéphalique, le sillon central sépare le cortex moteur primaire (M1), i.e. aire de Brodmann 4 dans le dans le gyrus précentral du lobe frontal, du cortex somatosensoriel primaire (SI), i.e. aires de Brodmann 3, 1 et 2 dans le gyrus postcentral du lobe pariétal.

Dans la plupart des hémisphères, le sillon central n'est pas en continuité avec l'opercule cérébral (loupe gyrus subcentral).

b. Sur la face médiale, il est peu visible et ne sert pas de séparation entre la partie motrice du lobule paracentral en avant, de la partie somatosensorielle vers l'arrière.

2. L'évolution du sillon central s'est produite chez les mammifères lorsque la dissociation complète du cortex somatosensoriel original de son double miroir s'est développée chez les mammifères placentaires comme les primates (Evolution of the Central Sulcus Morphology in Primates 2014).

a. En particulier, le sulcus central est proéminent chez l'homme qui a libéré ses mains de la locomotion par la bipédie pour se concentrer sur des actions de manipulation bien plus complexes.

b. En outre, une division dans le sillon central se trouve au point de division entre le poignet et les doigts dans le cortex moteur primaire, impliquant davantage la relation entre le développement de cette région et l'utilisation de la main.

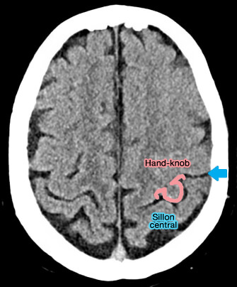
  • Hand-knob
    Hand-knob
    Figure : Raven neurology review
    La représentation de la main dans l'aire motrice primaire est principalement localisée dans un segment spécifique du gyrus précentral, appelé " hand-knob ", i.e. de knob, bouton, en raison de son renflement visible en forme d'oméga ou d'epsilon dans les images IRM axiales (Anatomo-functional characterisation of the human “hand-knob”: A direct electrophysiological study 2019).
  • Il existe des des asymétries anatomiques, i.e. droitier et gaucher, suggérant en outre le développement des mains dans la formation du sillon central, étant donné que le " hand-knob " est la partie centrale du sulcus replié dans le gyrus enfoui (The effect of handedness on the shape of the central sulcus 2012).
  • En outre, chez les musiciens jouant des instruments à cordes, cette formation oméga est spécifique au sillon central droit. Cependant, chez les pianistes, cette formation oméga se produit des deux côtés, mais plus particulièrement du côté gauche.

Variations du sillon central

1. La forme et la profondeur du sillon central est influencée par le sexe et l'âge (Asymmetries of the central sulcus in young adults: Effects of gender, age and sulcal pattern 2015)

Sillons et gyri de la surface supérolatérale du cerveau
(Vidéo : anatomy département Jamnagar Gujarat)

2. Le trouble du déficit de l'attention avec hyperactivité (TDAH), comparable à notre hyperactivité-hypersensibilité (HS-HA), a été associé à des déficits sensorimoteurs (Abnormal surface morphology of the central sulcus in children with attention-deficit/hyperactivity disorder 2015).

  • La profondeur moyenne et la profondeur maximale du sillon central gauche ainsi que l'épaisseur corticale moyenne du CS bilatéral dans le groupe TDAH sont significativement plus grandes que celles des enfants en bonne santé.
  • De plus, des différences significatives entre les groupes dans le profil sulcal ont été trouvées bilatéralement dans les sections médianes des CS, et ces changements étaient positivement corrélés aux scores d'hyperactivité-impulsivité chez les enfants atteints de TDAH.

L'anomalie de la morphologie anatomique du CS chez les enfants atteints de TDAH, en raison des changements structurels dans le cortex moteur, contribuent de manière significative à la symptomatologie clinique du trouble.

Autres sillons télencéphaliques

En construction