Citation
« J'ai une mémoire admirable : j'oublie
tout ! C'est d'un commode !... - C'est comme si le monde se renouvelait
pour moi à chaque instant. »
Jules Renard
Documentation web
La mémoire de travail (
infos) et la mémoire à court terme (
infos) ont été étudiées du point de vue
de la psychologie cognitive.
Intéressons-nous plus aux bases neuroscientifiques, c'est-à-dire ici plus précisément :
Dans
cette page, j'ai regroupé des sites pour savoir tout (ou presque)
sur les neurosciences, l'imagerie médicale, la neuroanatomie, la
neurophysiologie, la neurobiologie cellulaire et moléculaire.
![]()
Les aires cérébrales impliquées dans le phénomène
mémoriel sont très spécialisées et sont dépendantes
des systèmes sensoriels qui acquièrent les informations.
De nombreuses expériences ont été réalisées dans la reconnaissance visuelle.
Les voies visuelles sont bien connues et il est relativement
facile d'expérimenter chez l'animal et l'homme (
infos).

Les neurones des aires visuelles restent actifs quand le stimulus a disparu.
Des
expériences de reconnaissance différée avec non-appariement
à un modèle (DNMS -
infos -) chez le singe (en particulier, le macaque dont le cerveau
est proche de celui de l'homme) est un test de reconnaissance visuelle.
Ceci laisse présager que lorsque la mémoire de travail est
en marche, les neurones incriminés dans le codage sensoriel du stimulus
sont également activés Correspondent-ils aux systèmes
esclaves (
infos) ?
Reprenons la tâche de DNMS chez le
macaque, la destruction des lobes temporaux internes ne permet plus la reconnaissance
des objets (
infos).
![]()
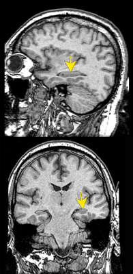
L'hippocampe est indispensable à la mémoire de travail.
L'hippocampe est également impliqué dans la
reconnaissance spatiale chez le rat (
infos).
![]()
L’information semble transiter par l'hippocampe avant d'être
transférée dans les aires corticales.
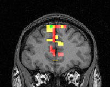
Chez les primates, le lobe frontal est très développé,
et en particulier, son extrémité, le cortex préfrontal
(
infos).
Les fonctions du cortex
frontal sont très mal connues (
infos).
Des expériences de reconnaissance différée chez le macaque ont permis de montrer le rôle des lobes préfrontaux dans la mémorisation des tâches visuelles.
Rappelons le cas de Phineas Gage : il eut un accident de
barre à mine qui lui transperça le crâne. Il ne mourut
pas malgré la gravité de ses blessures, mais changea radicalement
de caractère : en particulier, il n'arrivait plus à prendre
des décisions (
infos).
Le cortex préfrontal possède de nombreuses connexions avec de nombreuses aires cérébrales, maintient l'information en mémoire pour pouvoir prendre une décision cognitive et induire un comportement. Correspond-il à l'administrateur central ?
![]()
Le cortex frontal et les aires sensorielles restent en activité pendant
l'intégration et le traitement des informations sensorielles lors
du fonctionnement de la mémoire de travail.
Nous savons que de nombreuses aires corticales sont impliquées dans la mémoire de travail en fonction de la modalité sensorielle du stimulus (visuel : pariétal, auditif : temporal…)
Les aires motrices suivent la même règle : c'est le
cas de l'aire prémotrice (aire 6 -
infos -).
Quand on prépare une action, les stratégies sont construites et conservées en mémoire : c'est le fameux « Attention ! Prêt ? Partez ! » des courses ou des ordres que l'on donne avant l'entrée en méêée au rugby.
Les neurones restent actifs jusqu'au moment où le mouvement est initié.
Cette mémoire ne provoque aucune modification anatomique, ni de synthèse de nouvelles protéines.
Mémoire
Mémoire
sensorielle
Mémoire
à court terme
Mémoire de travail
Mémoire Ã
long terme
Mémoire à long terme non-déclarative
Mémoire à long terme déclarative
Bases neurobiologiques de la mémoire